Slide1.JPG

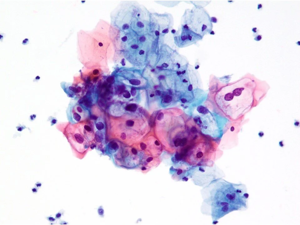
Superficial squamous cells - Large polygonal cells with transparent pink or blue/green cytoplasm and small pyknotic nucleus 5-6 microns in diameter. A predominant cell in samples from women of reproductive age.

Slide2.JPG

Intermediate squamous cell - Large polygonal cell with transparent pink or blue/green cytoplasm with larger nucleus 8 microns in diameter that is not pyknotic. Occasionally binucleated or even multinucleated. A predominant cell in samples from women of reproductive age.

Slide3.JPG

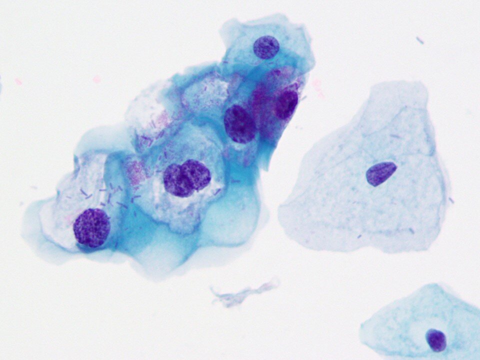
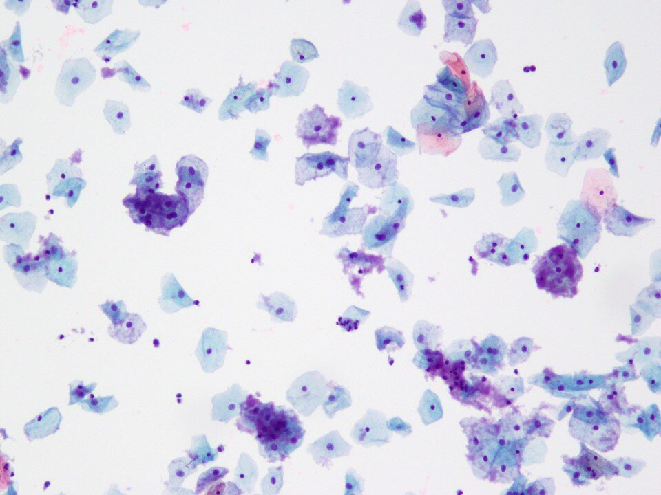
Squamous metaplastic cells - Common morphologic alteration of the endocervical epithelium, usually limited to the transformation zone. Squamous metaplastic cells have a characteristic aqua cytoplasm. They may show mild variation in nuclear size, slightly irregular nuclear contours, and slight hyperchromasia. They can be found singly or arranged as flat sheets in an interlocking fashion like paving stones.

Slide4.JPG

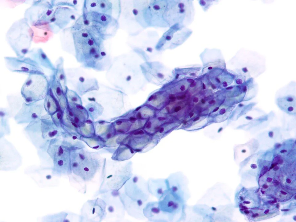
Squamous metaplastic cells - Cells having spindled cytoplasmic projections (“spider cells”) can be seen.

Slide5.JPG

“Cornflaking” - A refractile brown artifact that results from bubbles of trapped air. It can be reversed by reprocessing/restaining the slide.

Slide6.JPG

Parabasal cells - Immature squamous cells.

Slide7.JPG

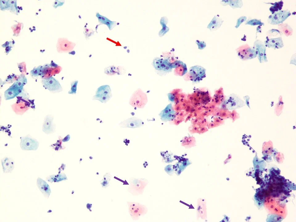
Basal cells - Immature squamous cells - a sign of atrophy (seen here in a hyperchromatic group). Encountered in low estrogen states such as premenarche, pospartum, postmenopause (as in this case), Turner Syndrome, status post bilateral oophorectomy, and administration of exogenous (androgeneric) hormones. The cellular components of atrophy, in addition to parabasal and basal cells, includes histiocytes / multinucleated giant cells and granular debris (not to be confused with the necrotic debris more typical of malignant processes).

Slide8.JPG

Atrophy - Hallmark cells are basal and parabasal cells. Can be found as isolated cells or in hyperchromatic groups (as seen above). Some features (such as high N:C) may overlap with atypical processes such as HSIL. However, some features that help point to a benign process include finely granular and evenly distributed chromatin texture, smooth nuclear contours, and the absence of significant mitotic activity.

Slide9.JPG
Slide10.JPG

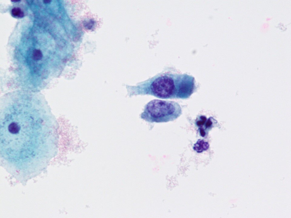
Navicular cells - intermediate cells with a “boat” shape. Associated with pregnancy or androgenic atrophy due to progesterone in women. Important to beware of as may mimic LSIL.

Slide11.JPG

Endocervical cells - flat sheet.

Slide12.JPG

Endocervical cells - “picket fence”

Slide13.JPG

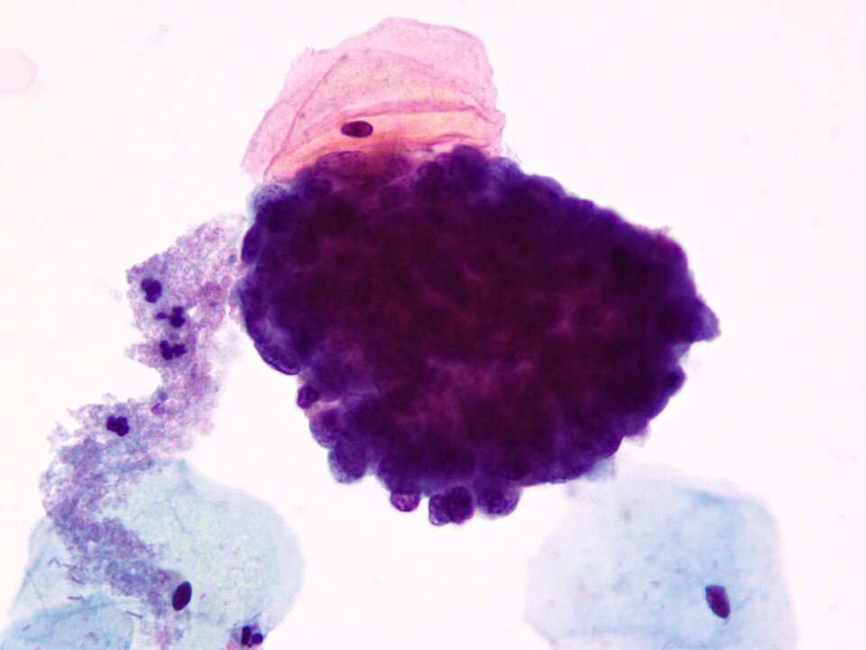
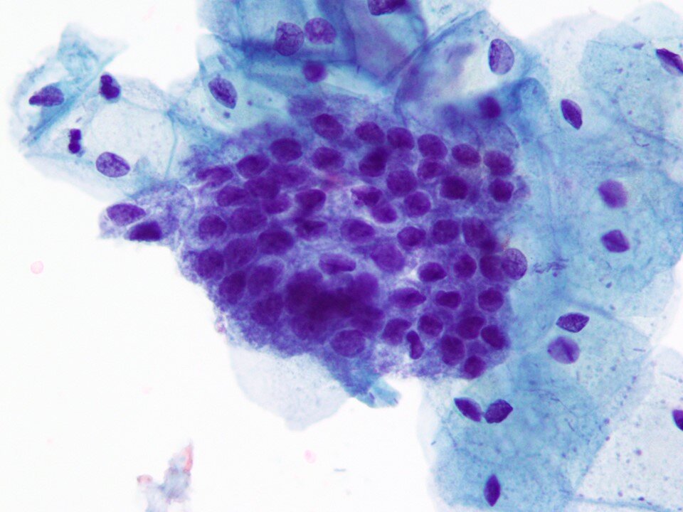
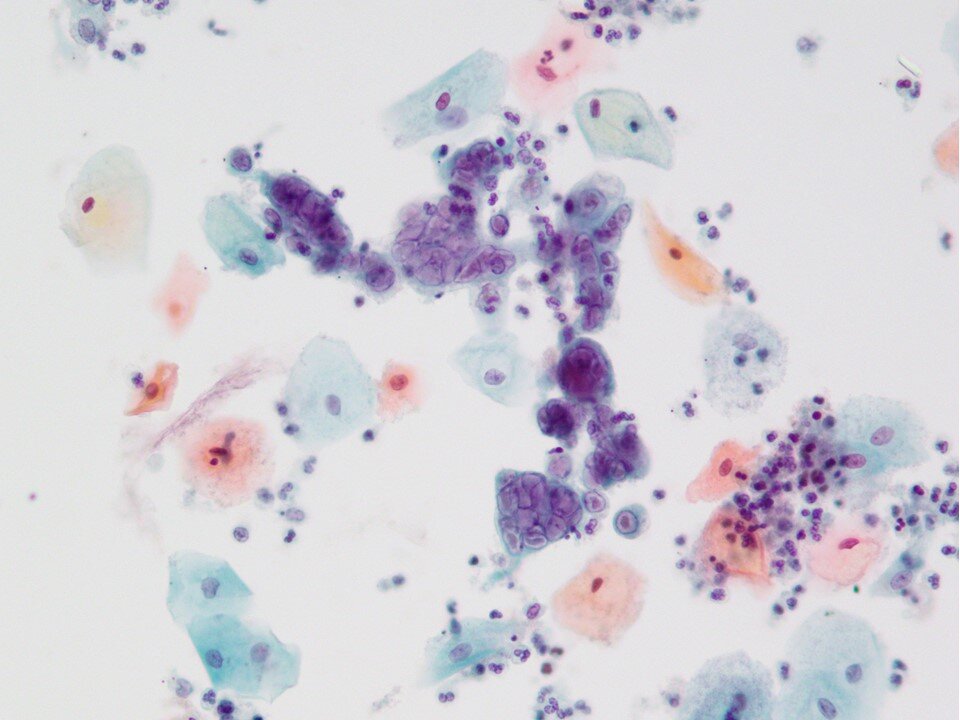
Endometrial cells - tight clusters are the typical appearance. Endometrial cells may be present in pap smears due to a variety of processes, including menstrual shedding in young women. They should be noted when identified in pap smears from women above the age of 45. In this age population, they may still be associated with benign processes and other processes such as polyps, but they have a higher likelihood of being associated with neoplastic / malignant processes (at least compared to younger women). The age cutoff of 45 was chosen as one that is most specific and sensitive based on available studies.

Endometrial cells - Nuclei that appear to be wrapping around at the periphery of the cluster are helpful clues, although it is a nonspecific finding.

Slide15.JPG

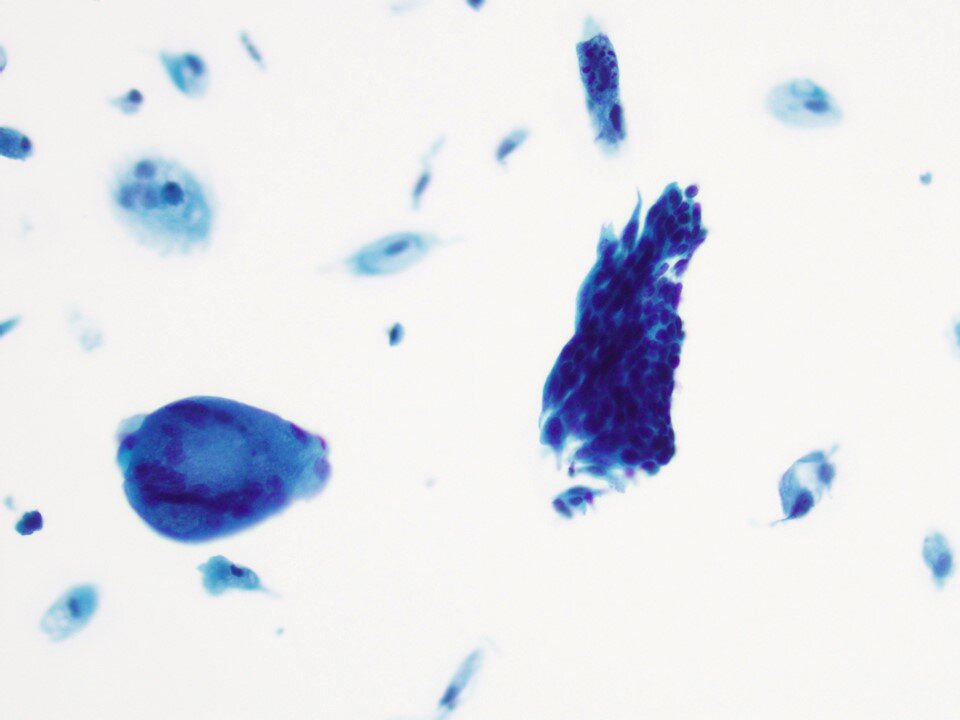
Tubal metaplastic cells -  In tubal metaplasia, the endocervical epithelium is replaced by an epithelium that recapitulates fallopian tube epithelium. The cells are columnar in shape and a characteristic feature is the presence of apical terminal bars and cilia.

Slide16.JPG
Slide17.JPG
Slide18.JPG
Slide19.JPG
Slide21.JPG
Slide22.JPG
Slide23.JPG
Slide24.JPG
Slide25.JPG
Slide26.JPG
Slide27.JPG
Slide28.JPG
Slide29.JPG
Slide30.JPG
Slide31.JPG
Slide32.JPG
Slide33.JPG
Slide34.JPG
Slide35.JPG
Slide36.JPG
Slide37.JPG
Slide38.JPG
Slide39.JPG
Slide40.JPG
Slide41.JPG
Slide42.JPG
Slide43.JPG
G19-16786 Endocervical adenocarcinoma in situ4.jpg
Slide44.JPG
Slide45.JPG