• Welcome
  • Breast Image Bank
  • Breast Article Reviews
  • Cytology Image Bank
  • OB Image Bank
Menu

EZ-Path

  • Welcome
  • Breast Image Bank
  • Breast Article Reviews
  • Cytology Image Bank
  • OB Image Bank

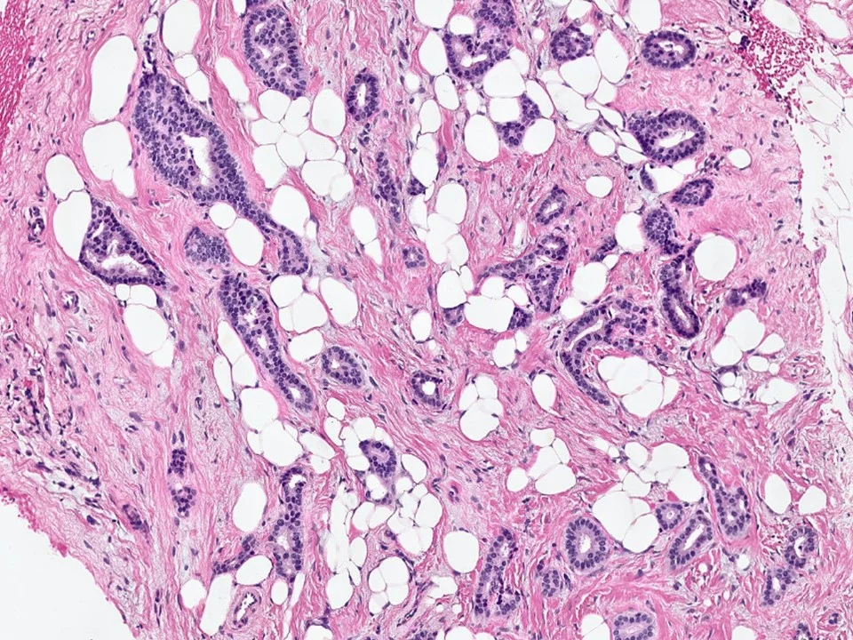
Normal Histology

Normal Breast Tissue
Normal Breast Tissue

The adult female breast is composed of a series of branching ducts and ductules that terminate in the acini. This arrangement has been likened to a flowering tree. 

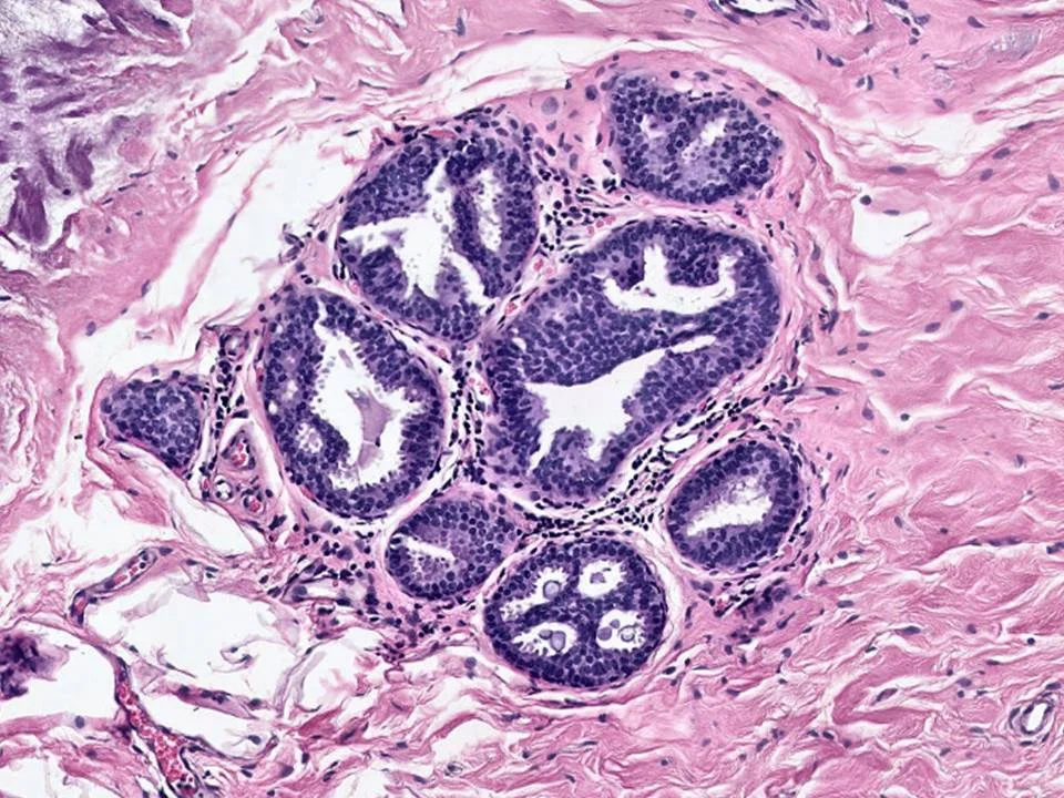
Normal Breast Tissue, Lobule with Terminal Duct
Normal Breast Tissue, Lobule with Terminal Duct

The lobule is composed of groups of small glandular structures called acini. The lobules drain into ductules and ducts, which then drain into the collecting ducts, which open onto the surface of the nipple.

Microanatomy of Normal Adult Female Breast Tissue
Microanatomy of Normal Adult Female Breast Tissue

The female adult breast consists of a series of branching ducts and ductules that terminate in the acini (which are also known as the terminal ductules).

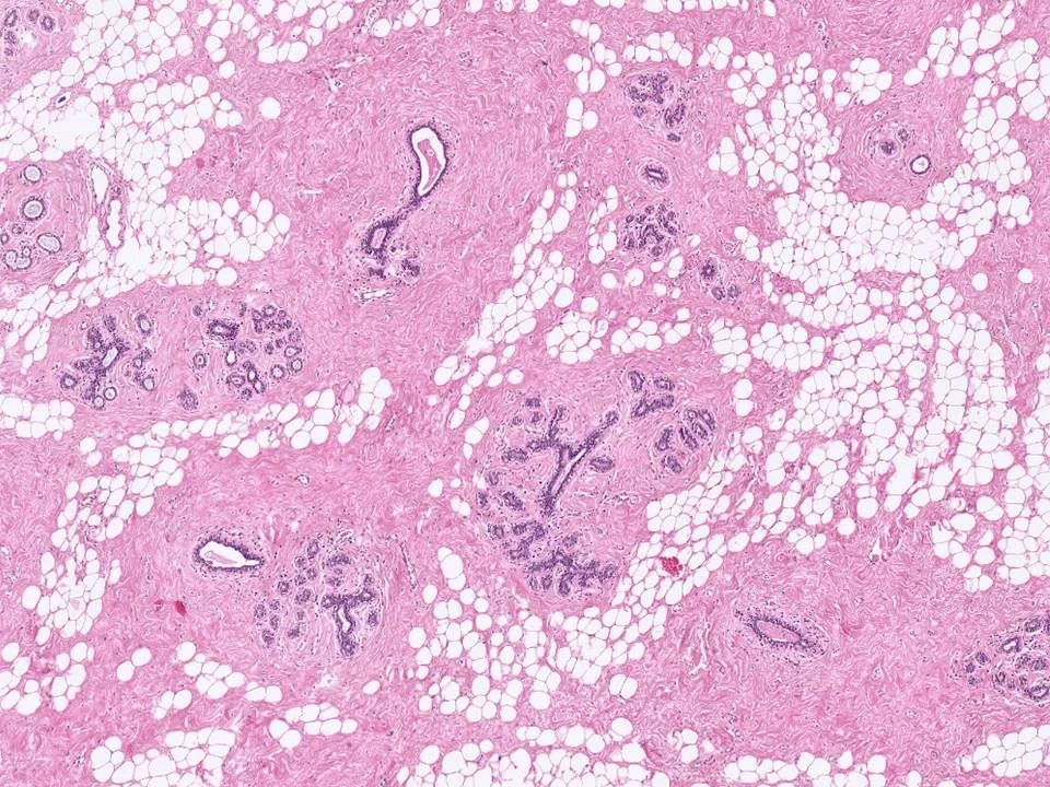
Normal Breast Tissue
Normal Breast Tissue

Mammary ducts and lobules are embedded in a stroma that is composed of a variable amount of fibrous tissue and adipose tissue. The proportion of fibrous tissue to adipose tissue varies with age and varies amongst individuals. Younger women tend to have denser breast tissue, while older women tend to have fattier breast tissue.

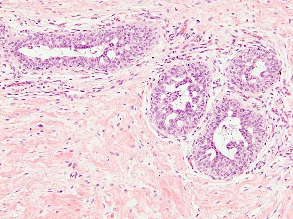
Normal Breast Tissue, Lobule
Normal Breast Tissue, Lobule

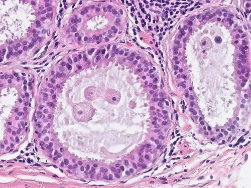
The mammary ductal-lobular system in lined by a dual cell population comprised of an inner epithelial cell layer and an outer myoepithelial cell layer. Myoepithelial cells can vary in appearance, including prominent cytoplasmic clearing and myoid features.

Lining Cells of the Ductal-Lobular System
Lining Cells of the Ductal-Lobular System

Here we see the dual cell population lining the ductal-lobular system: there is an inner epithelial cell layer and an outer myoepithelial cell layer.

Lactating Breast Tissue
Lactating Breast Tissue

The lobules are enlarged, containing numerous acini with epithelial cell enlargement, cytoplasmic vacuolization, and cell protrusion into the acinar lumen.

Lactational Change
Lactational Change

The lobules are enlarged and contain numerous acini

Lactational Change
Lactational Change

On higher power, there is prominent epithelial cell enlargement with cytoplasmic vacuolization and protrusion of cells into the acinar lumen.

Lactational Change
Lactational Change

Some cells have a hobnail appearance.

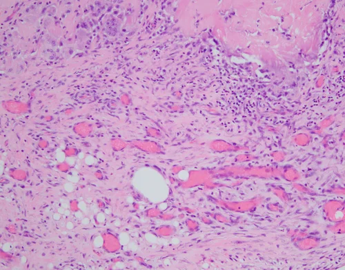
Multinucleated Stromal Giant Cells
Multinucleated Stromal Giant Cells

Sometimes multinucleated stromal giant cells can be seen scattered throughout the interlobular stroma. There significance is unknown, but they are important to recognize and not mistaken for malignant cells.

Multinucleated Stromal Giant Cells
Multinucleated Stromal Giant Cells

The multinucleated stromal giant cells have a mesenchymal phenotype.

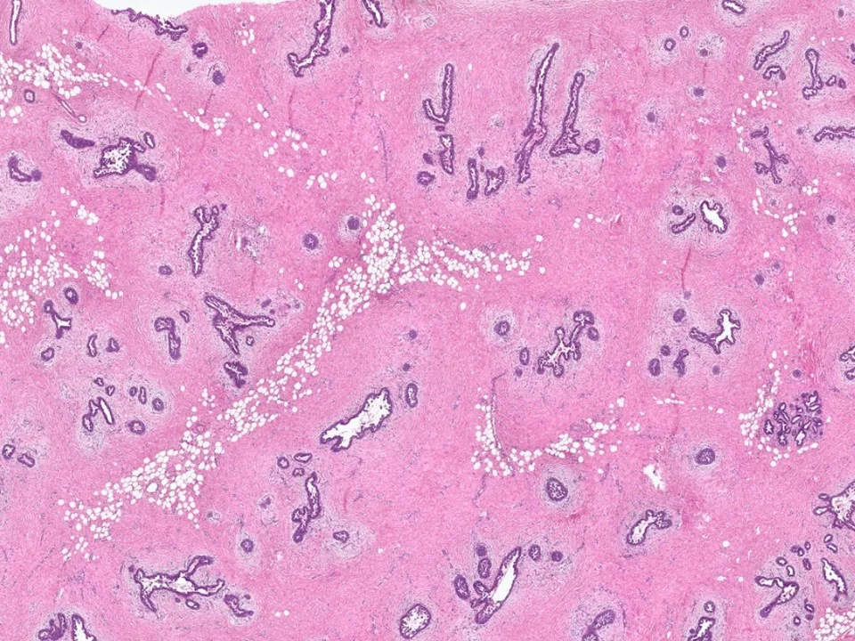
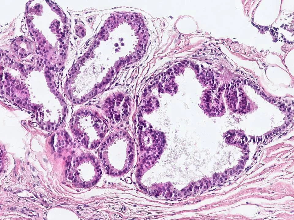
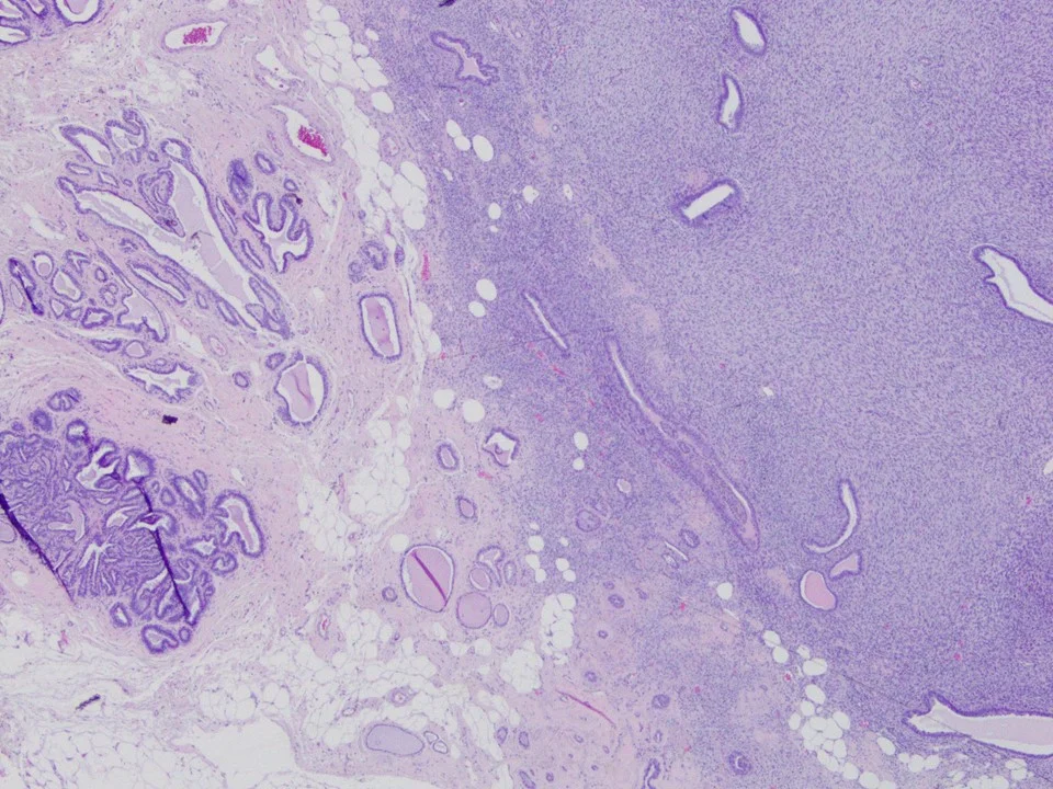
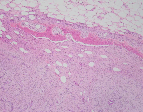
Ectatic Ducts
Ectatic Ducts

Ectatic (or dilated) ducts are commonly seen in breast tissue. This should be distinguished from mammary duct ectasia, which is characterized by periductal inflammation and fibrosis with duct dilation.

Ectatic Ducts
Ectatic Ducts

Ectatic (or dilated) ducts are commonly seen in breast tissue. This should be distinguished from mammary duct ectasia, which is characterized by periductal inflammation and fibrosis with duct dilation.

Ectatic Duct with Lobular Unit
Ectatic Duct with Lobular Unit

This ectatic duct is leading into a lobular unit with some cystic features. Some have argued that cysts are derived from the terminal duct lobular unit through dilation and ultimately unfolding and coalescing of the lobular acini (imagine blowing up a latex glove).

Reactive, Inflammatory, and Nonproliferative Lesions

Biopsy Site Change
Biopsy Site Change

Biopsy site change includes organizing hemorrhage, fat necrosis and foreign body giant cell reaction, and scarring. Biopsy site changes are related to procedure type (core needle biopsy vs open surgical biopsy) and the time interval from the initial procedure.

Biopsy Site Change, Granulation Tissue
Biopsy Site Change, Granulation Tissue

Granulation tissue shows a rich vascular proliferation with reactive stromal cells and inflammatory cell infiltrate.

Biopsy Site Change, Fat Necrosis
Biopsy Site Change, Fat Necrosis

In fat necrosis we see partially necrotic adipose tissue with interspersed plump, foamy macrophages, multinucleated giant cells, and chronic inflammatory cells. Hemosiderin pigment deposits, fibrosis, and calcification may be present.

Biopsy Site Change, Fat Necrosis
Biopsy Site Change, Fat Necrosis

On higher power, we see necrotic adipocytes with interspersed foamy macrophages.

Biopsy Site Change, Displaced Epithelium
Biopsy Site Change, Displaced Epithelium

Procedures such as core needle biopsies can lead to disruption of the lesion and displacement of epithelial elements into the stroma and/or vascular spaces. Epithelial displacement is particularly common following core needle biopsy of papillary lesions, but may follow biopsy of other benign lesions as well as ductal carcinoma in situ. Displacement of epithelium into lymph nodes may also occur.

Biopsy Site Change, Displaced Epithelium
Biopsy Site Change, Displaced Epithelium

The stroma may contain numerous nests of epithelium that show varying degrees of degenerative changes, and in particular may show squamoid features (pink cells).

Biopsy Site Change, Displaced Epithelium
Biopsy Site Change, Displaced Epithelium

A diagnosis of invasive carcinoma should only be considered if the epithelial nests are clearly away from the biopsy site or have features characteristic of a recognized type of invasive cancer.

Myoepithelial markers are only helpful if they are positive and thus show a presence of myoepithelial cells. They are not helpful if they are negative, as the absence of myoepithelial cells cannot be used as evidence of an invasive process due to the fact that in many instances the epithelial cells alone are displaced into the stroma from a lesion (such as from DCIS or papillary lesions).

Biopsy Site Changes, Infarction of Papillary Lesion
Biopsy Site Changes, Infarction of Papillary Lesion

Partial or total infarction of lesions may occur after prior procedures such as core needle biopsy or fine-needle aspiration. This is particularly true of papillary lesions and fibroepithelial lesions. As one would expect, this can confound the interpretation of the subsequent excisional specimen.

Collagen Plug
Collagen Plug

Marking devices are commonly used in core needle biopsy procedures to mark the location of the biopsy site. One type consists of a titanium clip within a bovine collagen plug. 

Collagen Plug
Collagen Plug

On higher power, the collagen plug demonstrates broad bands of eosinophilic, acellular material.

Marking Device, Copolymer Pellet
Marking Device, Copolymer Pellet

Another marking device is composed of pellets of a resorbable copolymer of polylactic acid/polyglycolic acid, which is similar to Vicryl suture material. Within the pellets is a stainless steel marker. 

Marking Device, Copolymer Pellet
Marking Device, Copolymer Pellet

Another example

Marking Device, Copolymer Pellet, Granulomatous Reaction
Marking Device, Copolymer Pellet, Granulomatous Reaction

Over time, a foreign body giant cell reaction around the empty spaces with dissolved copolymer material can be seen. Granulomas can form in these areas.

Breast Implant Capsule With Synovial Metaplasia
Breast Implant Capsule With Synovial Metaplasia

Reaction to breast implants can result in a number of tissue reactions, including the formation of a fibrous capsule. Histologic examination will show varying amounts of fibrosis, chronic inflammation, fat necrosis, granulation tissue, fibrin deposition, histiocytes, and foregin body giant cells.

Breast Implant Capsule With Synovial Metaplasia
Breast Implant Capsule With Synovial Metaplasia

Some capsules will undergo changes that resemble either synovium or synovium with papillary hyperplasia. Histologically, immunohistochemically, ultrastructurally, and physiologically the properties are similar to normal synovium. This process is referred to as synovial metaplasia. 

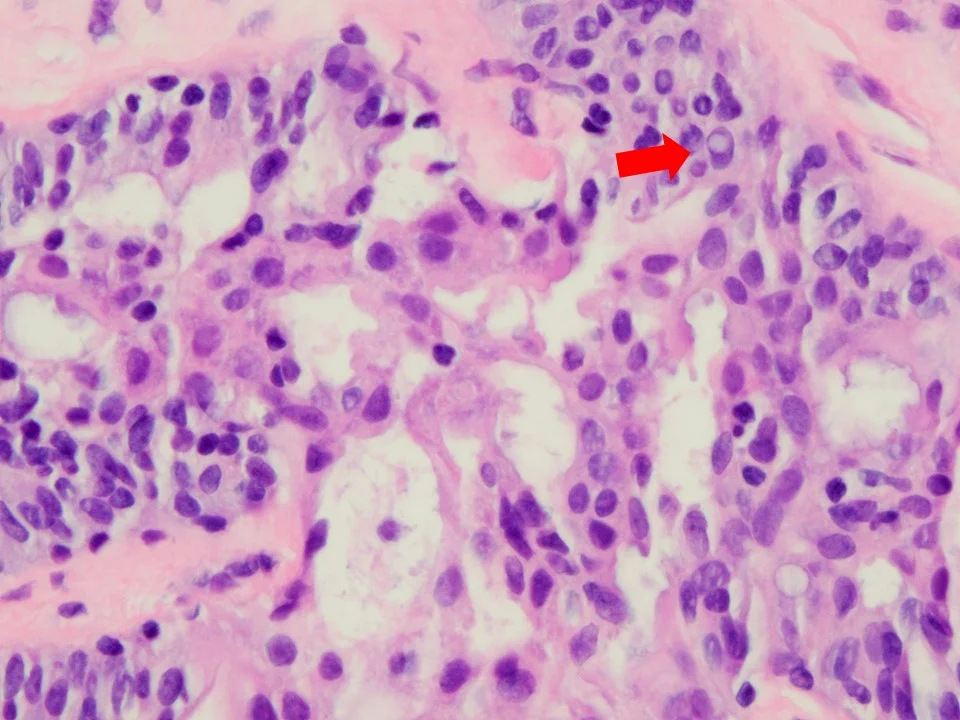
Cystic Neutrophilic Granulomatous Mastitis
Cystic Neutrophilic Granulomatous Mastitis

A distinctive histologic pattern termed cystic neutrophilic granulomatous mastitis (CNGM) is seen in some cases of granulomatous mastitis and has been associated with Corynebacterium infection. 

For reference:

http://www.ncbi.nlm.nih.gov/pubmed/27247368

http://www.ncbi.nlm.nih.gov/pubmed/26200100

Cystic Neutrophilic Granulomatous Mastitis
Cystic Neutrophilic Granulomatous Mastitis

A gram stain demonstrating gram positive rods found within the cystic areas.

Cyst
Cyst

Cysts vary in size from microscopic to grossly evident and large enough to produce palpable masses. They are fluid-filled structures that are round to ovoid in shape.

Cyst
Cyst

While cysts are lined by an inner epithelial layer and an outer myoepithelial layer, the lining may become attenuated or even be absent,

Apocrine Metaplasia
Apocrine Metaplasia

Apocrine metaplasia is the most common type of metaplastic change in the breast. It is characterized by enlarged epithelial cells with round nuclei and prominent nucleoli, and abundant granular, eosinophilic cytoplasm. Eosinophilic granules may be seen. 

Apocrine Cyst
Apocrine Cyst

In these cysts, the epithelial lining shows apocrine metaplasia. The cells show abundant eosinophilic cytoplasm with apical snouting and supranuclear eosinophilic granules. The nuclei are round and have prominent nucleoli.

Papillary Apocrine Metaplasia
Papillary Apocrine Metaplasia

The epithelial cells lining cysts can show apocrine metaplasia. When present in a papillary configuration, it is referred to as papillary apocrine metaplasia.

Papillary Apocrine Metaplasia
Papillary Apocrine Metaplasia

The epithelial cells lining cysts can show apocrine metaplasia. When present in a papillary configuration, it is referred to as papillary apocrine metaplasia.

Papillary Apocrine Change
Papillary Apocrine Change
Papillary Apocrine Change
Papillary Apocrine Change

Higher magnification of the previous image. Note the red granules characterizing apocrine change.

Silicone
Silicone
Silicone
Silicone
Silicone
Silicone

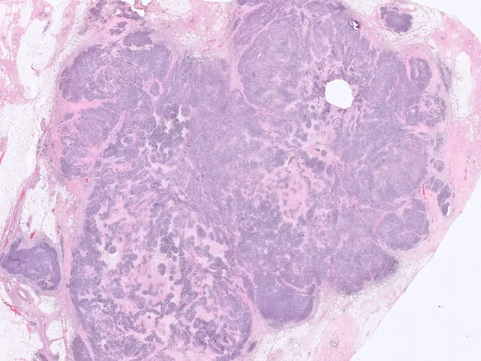
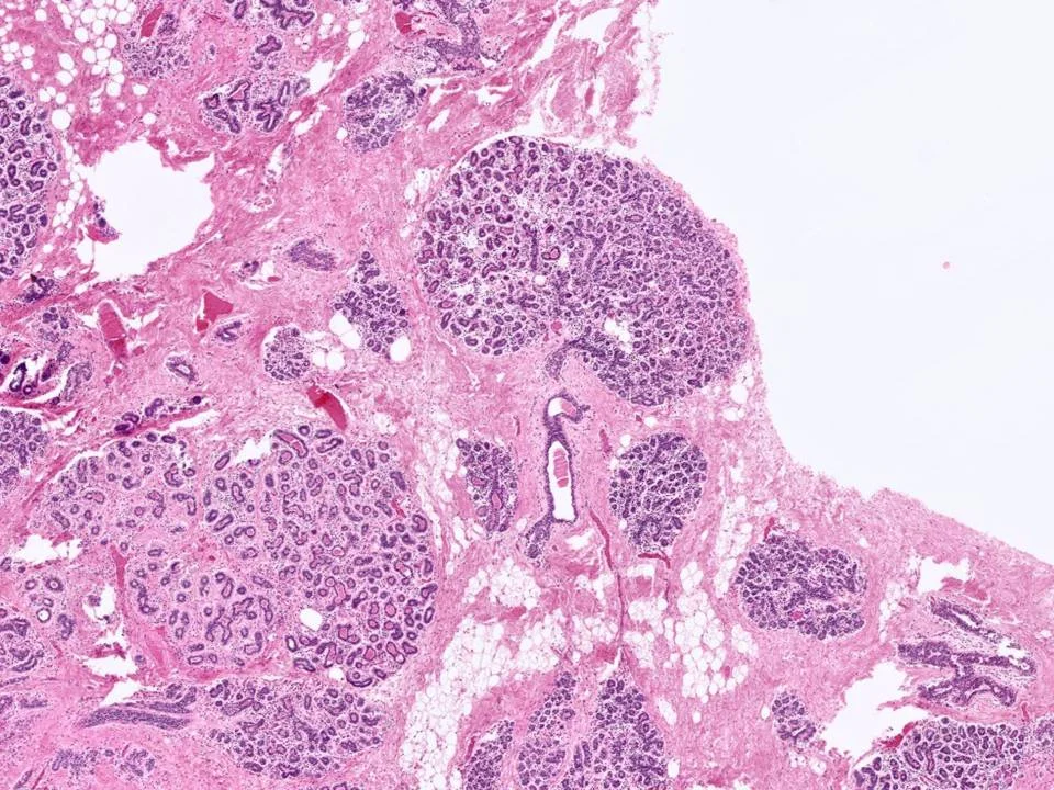
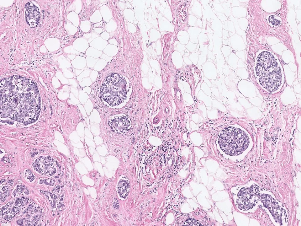
Adenosis and Sclerosing Lesions

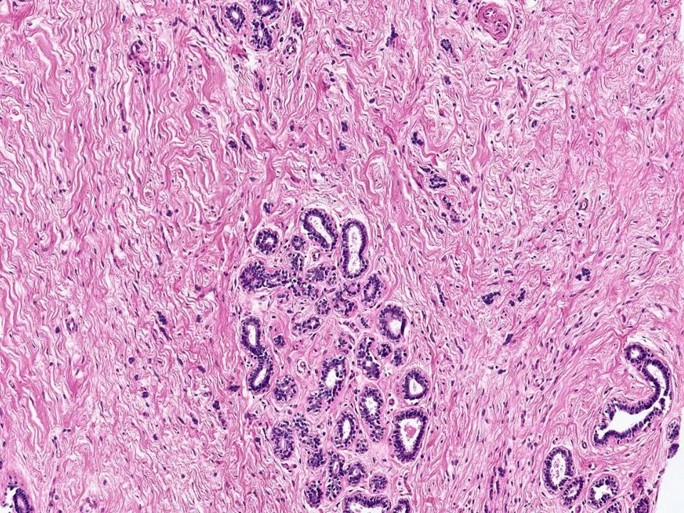
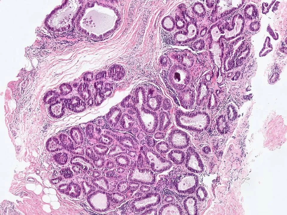
Sclerosing Adenosis
Sclerosing Adenosis

The term adenosis refers to a lobulocentric proliferation predominantly derived from the TDLU. Sclerosing adenosis is the most common form of adenosis. Clinical follow-up studies have shown sclerosing adenosis is associated with a 1.5 to 2 fold increase in cancer risk.

Sclerosing Adenosis
Sclerosing Adenosis

Sclerosing adenosis is a lobulocentric glandular proliferation accompanied by a stromal proliferation that produces variable glandular compression and distortion.

The key to the diagnosis of sclerosing adenosis is low-power microscopic examination. On low power, notice the relatively circumscribed, lobulocentric nature of the proliferation.

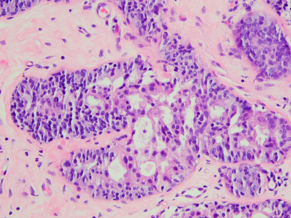
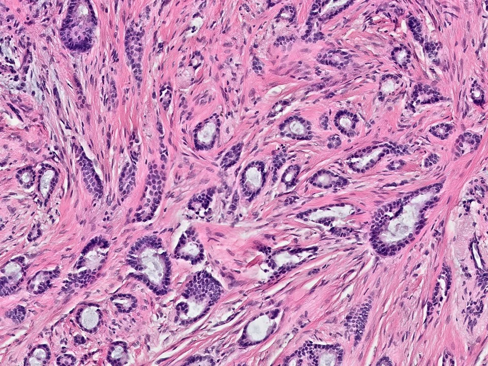
Sclerosing Adenosis
Sclerosing Adenosis

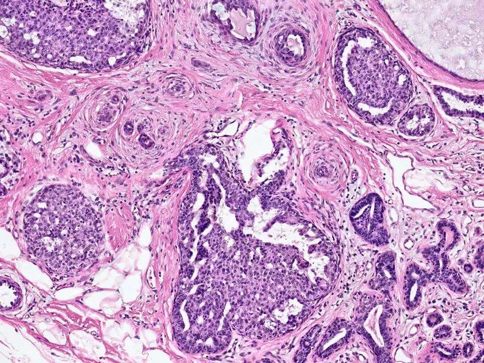
This glandular proliferation is characterized by preferential preservation of myoepithelial cells and variable atrophy of the epithelial cells, accompanied by lobular fibrosis.

Sclerosing Adenosis
Sclerosing Adenosis

The glands and tubules are often comprised of flattened epithelial cells. Glandular compression and distortion is most marked at the center of the lesion, and lumina may be completely obliterated.

Sclerosing Adenosis
Sclerosing Adenosis

Sclerosing adenosis usually is an incidental microscopic finding, although sometimes it may present as a mammographic abnormality (microcalcifications) or less commonly as a density/mass.

Sclerosing Adenosis
Sclerosing Adenosis

In some instances, sclerosing adenosis may not be limited to a lobulocentric pattern, and may display an infiltrative appearing pattern in the stroma and fat. This may be mistaken for invasive carcinoma. 

Sclerosing Adenosis
Sclerosing Adenosis

The glands and tubules are often comprised of flattened epithelial cells. Glandular compression and distortion is most marked at the center of the lesion, and lumina may be completely obliterated. The myoepithelial cell layer is sometimes inconspicuous (and IHC will help to highlight the myoep cells)

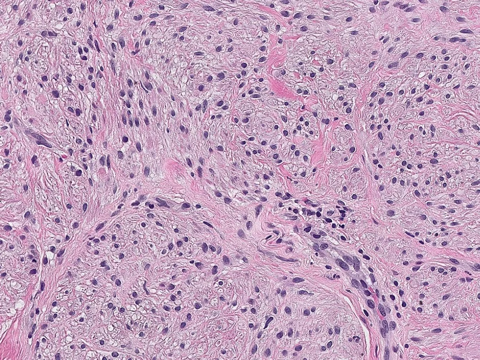
Adenosis with Perineural Involvement
Adenosis with Perineural Involvement

Sclerosing adenosis sometimes infiltrates nerves, although uncommonly, and should not be taken as an indication of malignancy. As seen here, benign glands can be seen adjacent to nerve twigs. 

For reference: https://www.ncbi.nlm.nih.gov/pubmed/6073901

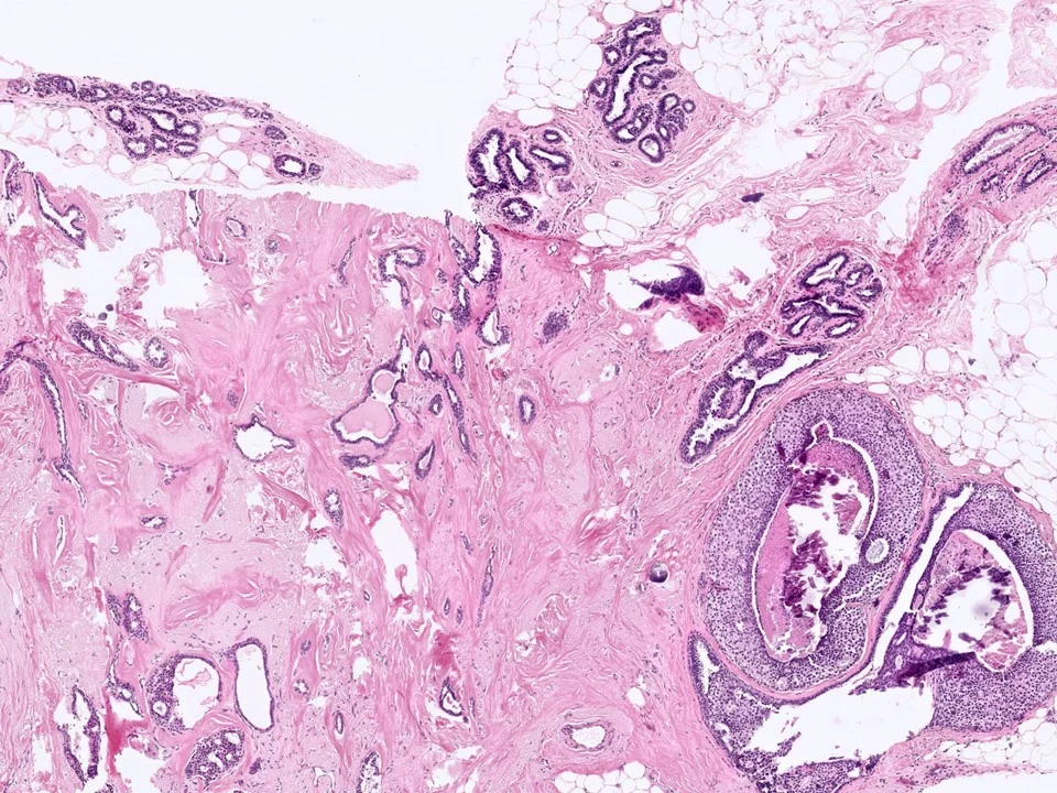
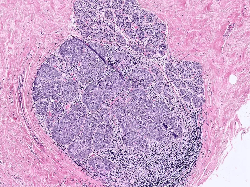
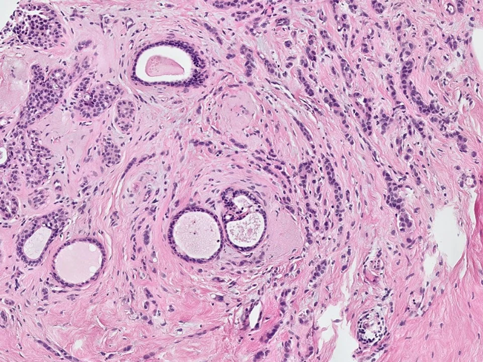
Radial Scar
Radial Scar

Radial scars are sclerosing lesions with a central, sclerotic nidus from which ducts and lobules radiate circumferentially. Here, a lobule is involved by collagenous spherulosis (top of image).

The distinction from invasive carcinoma may be difficult, and may require the use of myoepithelial cell markers. A caveat is that myoeps surrounding the glands within sclerosing lesions may show a reduction or absence of expression of one or more myoepithelial cell markers (see for reference: http://www.ncbi.nlm.nih.gov/pubmed/20463570).

The management of patients with radial scars on core needle biopsy is a matter of debate, although with most authorities agreeing that excision is warranted

Radial Scar, With Involvement by DCIS
Radial Scar, With Involvement by DCIS

The epithelium of the glands in the sclerotic areas may consist of only a single layer with benign cytologic features or may show proliferative changes including UDH, ADH, ALH, LCIS, or DCIS.

There is an increased frequency of carcinomas and atypical hyperplasia in association with larger radial scars, especially in women >50 years old. 

Radial Scar, With Involvement by DCIS
Radial Scar, With Involvement by DCIS

The epithelium of the glands in the sclerotic areas of radial scars may show proliferative changes including UDH, ADH, ALH, LCIS, or DCIS. DCIS is pictured here at the right of the image.

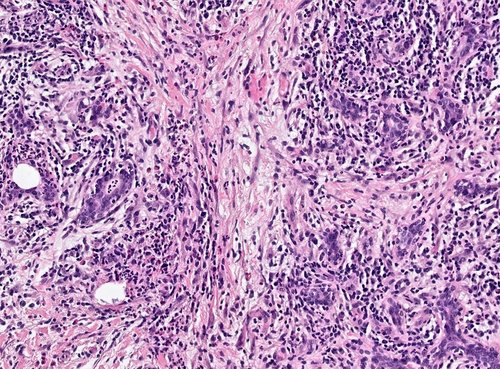
Complex Sclerosing Lesion
Complex Sclerosing Lesion

In contrast to radial scars, complex sclerosing lesions have a less organized appearance.

Complex Sclerosing Lesion
Complex Sclerosing Lesion

A high power view of a complex sclerosing lesion demonstrates a fibroelastotic stroma containing entrapped glands. Notice the gray-pink hue of the fibroelastotic stroma that differs from the intervening fibrotic stroma.

Complex Sclerosing Lesion, p63
Complex Sclerosing Lesion, p63

Myoepithelial markers can help highlight myoepithelial cells within complex sclerosing lesions, although in some instances these markers can be lost.

See for reference: http://www.ncbi.nlm.nih.gov/pubmed/20463570

Atypical Apocrine Adenosis
Atypical Apocrine Adenosis

The term apocrine adenosis describes a variety of breast lesions in which the epithelium shows apocrine cytology.  The term atypical apocrine adenosis is used when the apocrine cells show at least a threefold variation in nuclear size and nucleolar enlargement.

Atypical Apocrine Adenosis
Atypical Apocrine Adenosis

In this example of atypical apocrine adenosis, the epithelial cells have eosinophilic cytoplasm that is typical of apocrine metaplasia, but show nuclear pleomorphism with prominent enlarged nucleoli.

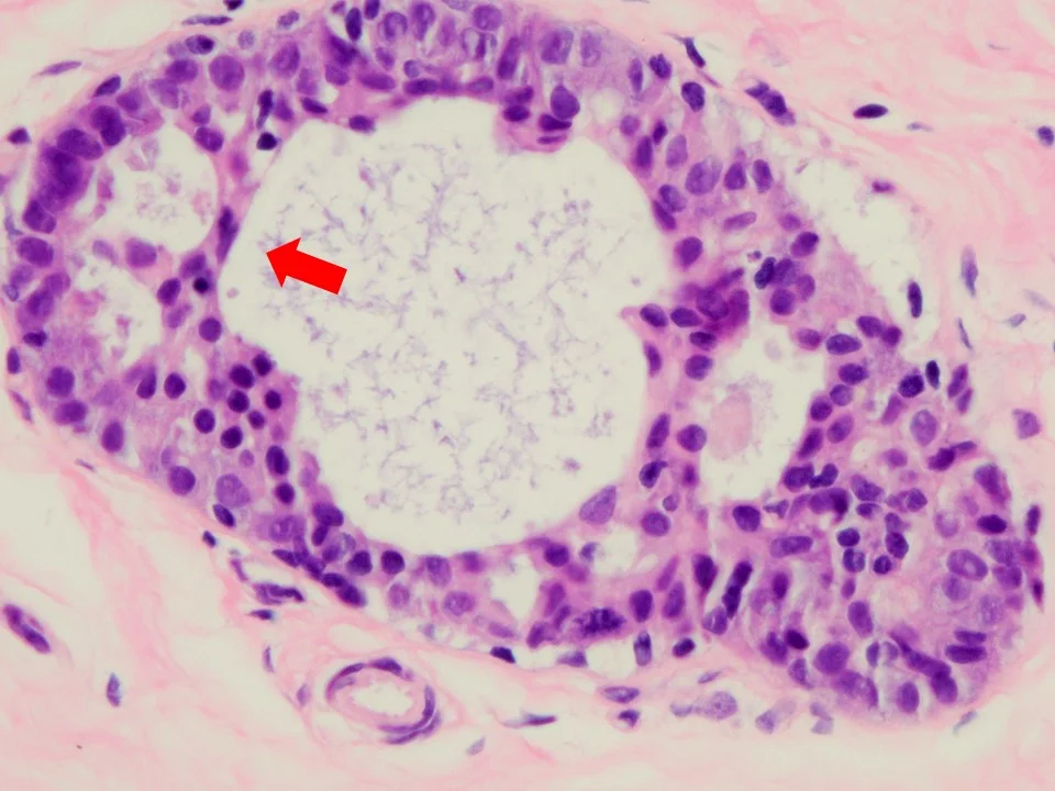
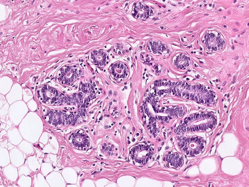
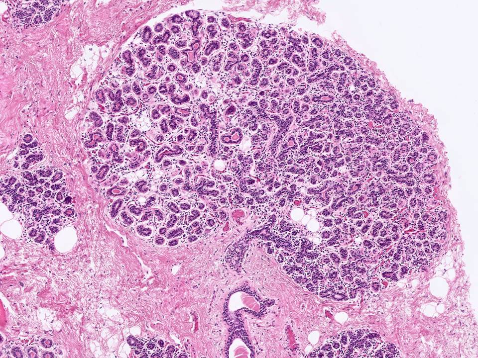
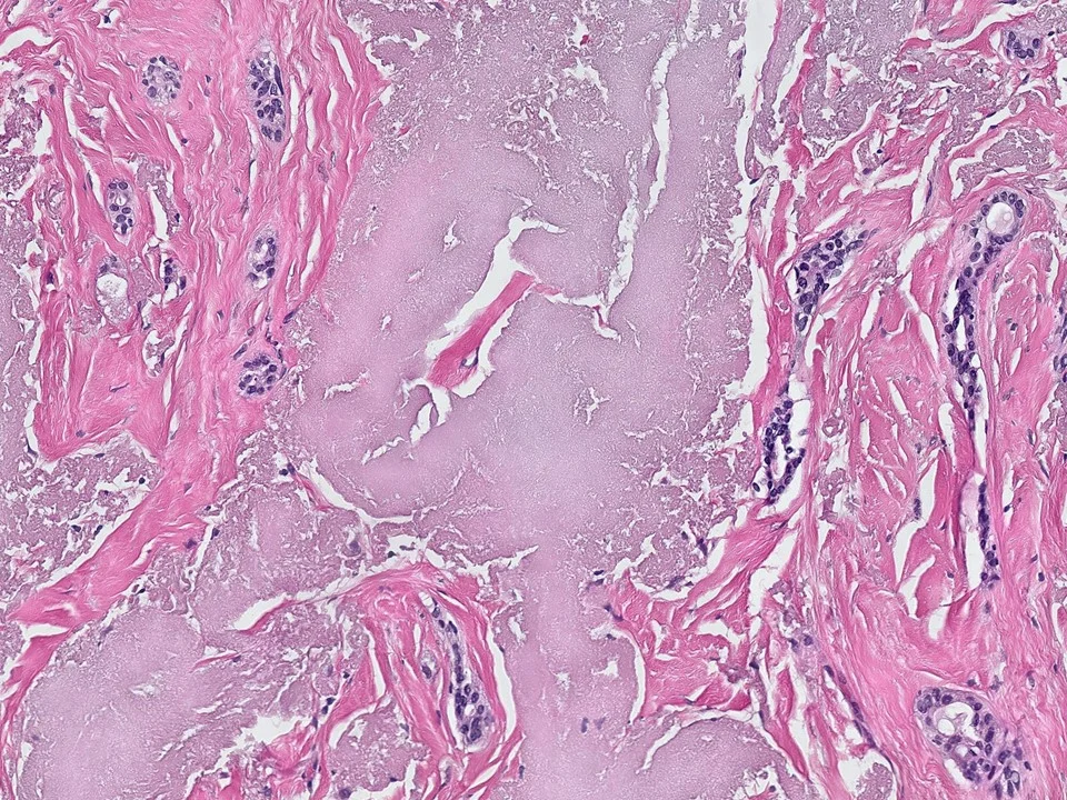
Microglandular Adenosis
Microglandular Adenosis

Microglandular adenosis is an uncommon proliferative glandular lesion that is important to recognize because it mimics carcinoma clinically and pathologically.

Microglandular Adenosis
Microglandular Adenosis

Microglandular adenosis is characterized by an infiltrative, nonlobulocentric proliferation of relatively uniform, small glands within the stroma and adipose tissue.

Microglandular Adenosis
Microglandular Adenosis

Microglandular adenosis is composed of small round glands that are lined by a single layer of flat-to-cuboidal epithelial cells. The glands lack an outer myoepithelial cell layer. They often have an eosinophilic, PAS+ Diastase resistant secretory material within the lumina. 

Microglandular Adenosis, S100
Microglandular Adenosis, S100

Strong immunoreactivity for S100 characterizes microglandular adenosis. The lesion is also positive for cathepsin D. MGA lacks expression of EMA, ER, and PR.

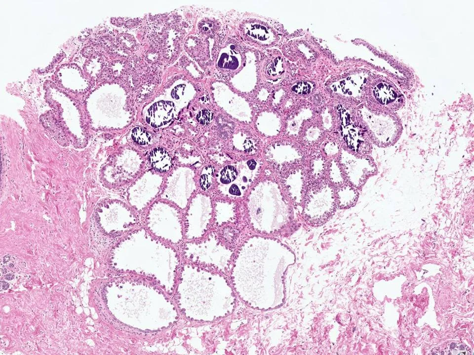
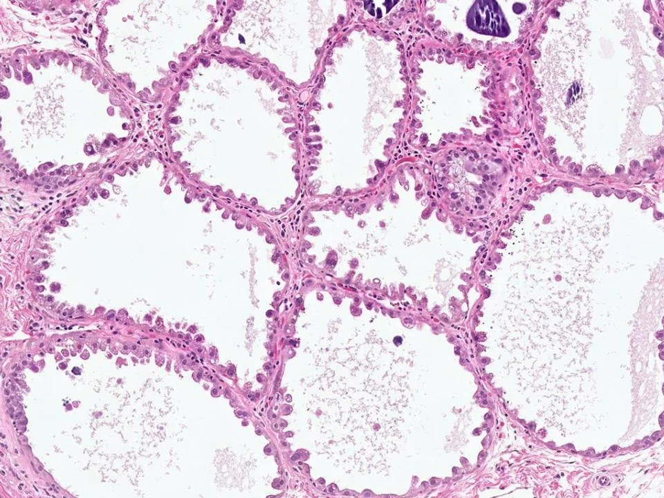
Columnar Cell Lesions and Flat Epithelial Atypia

Columnar Cell Change
Columnar Cell Change

Columnar cell change is characterized by enlarged TDLUs with variably dilated acini. The acini have irregular contours and some contain secretions. On higher power, the epithelium lining the acinus is characterized by columnar cells. The nuceli are slender, ovoid, and oriented in a regular fashion perpendicular to the basement membrane. These have the appearance of a "picket fence."

Columnar Cell Hyperplasia
Columnar Cell Hyperplasia

Columnar cell hyperplasia, as in columnar cell change, demonstrates enlarged TDLUs with dilated acini that are irregular in contour and lined by columnar cells. Additionally, they will show cellular stratification of more than two cell layers.

Columnar Cell Hyperplasia
Columnar Cell Hyperplasia

Another example

Columnar Cell Hyperplasia
Columnar Cell Hyperplasia

On higher power, the cells lining columnar cell hyperplasia are similar cytologically to those of columnar cell change, with elongated nuclei oriented perpendicular to the basement membrane. However, the columnar cells show stratification with foci of cellular tufting.

Flat Epithelial Atypia
Flat Epithelial Atypia

Flat epithelial atypia consists of enlarged TDLUs in which the epithelial cells are replaced by one to several layers of cuboidal to columnar epithelial cells that show the cytologic atypia of low-grade DCIS.

Flat Epithelial Atypia
Flat Epithelial Atypia

The acini of the TDLUs are variably dilated and often have round contours. Secretions and calcifications can be seen within the acinar lumina.

Flat Epithelial Atypia
Flat Epithelial Atypia

The cytologic atypia of flat epithelial atypia resembles that of low grade or monomorphic type DCIS. They are not oriented perpendicular to the basement membrane and show an increase in the nuclear/cytoplasmic ratio (thus appearing more basophilic at low power). In some cases, apical cytoplasmic snouts or blebs may be seen.

Intraductal Proliferative Lesions

Usual Ductal Hyperplasia
Usual Ductal Hyperplasia

UDH is a benign epithelial proliferation. It is associated with a 1.5 to 2 fold increase in the risk of breast cancer. 

Usual Ductal Hyperplasia
Usual Ductal Hyperplasia

UDH can have varied architectural patterns including solid, fenestrated, or micropapillary. As seen here, if lumens are present within the proliferation, they tend to be irregular in size and shape, often slit-like, and often arranged around the periphery. The cells that comprise the proliferation vary in size, shape, and orientation, are arranged in a haphazard pattern, and have poorly defined borders. Foamy histiocytes may be associated with the proliferation (seen here in center).

Usual Ductal Hyperplasia
Usual Ductal Hyperplasia

The lumens within this proliferation vary in size and shape. They are slit-like. The cells are arranged in a haphazard pattern and do not polarize around the lumens.

Usual Ductal Hyperplasia
Usual Ductal Hyperplasia

The cells comprising UDH are cytologically benign and vary in size and shape (ie are not monotonous appearing). A prominent streaming or swirling of the cells can be seen in some cases.

Usual Ductal Hyperplasia
Usual Ductal Hyperplasia

The fenestrations in UDH vary in size and shape.

Usual Ductal Hyperplasia
Usual Ductal Hyperplasia

Cells are arranged haphazardly and do not show regular orientation around the fenestrations. The fenestrations often are seen at the periphery of the intraductal proliferation.

Usual Ductal Hyperplasia
Usual Ductal Hyperplasia

Intranuclear vacuoles can be seen in the cells that comprise UDH.

Usual Ductal Hyperplasia, with Apocrine Metaplasia
Usual Ductal Hyperplasia, with Apocrine Metaplasia

Usual ductal hyperplasia may be comprised of multiple cell types, including metaplastic cells with apocrine or, less often, squamous features.

Usual Ductal Hyperplasia, with Apocrine Metaplasia
Usual Ductal Hyperplasia, with Apocrine Metaplasia

Higher magnification of the previous image. Note an intranuclear vacuole.

Usual Ductal Hyperplasia
Usual Ductal Hyperplasia

The cells do not show orientation around the irregularly shape fenestrations.

Usual Ductal Hyperplasia
Usual Ductal Hyperplasia

Epithelial bridges may be present. They appear stretched or twisted and commonly show central attenuation or thinning. Nuclei that are within these bridges are compressed and stretched. They are oriented in the same direction as the bridges.

Usual Ductal Hyperplasia
Usual Ductal Hyperplasia

Another example of epithelial bridges within UDH

Ductal Carcinoma In Situ (DCIS)
Ductal Carcinoma In Situ (DCIS)

The term DCIS encompasses a heterogeneous group of lesions that differ with regards to their histology, biomarker profile, and genetic abnormalities. Clinically, DCIS most often presents as mammographic calcifications.

Currently there is no set classification system for DCIS. DCIS was traditionally classified based primarily on architectural features and five major types were recognized: comedo, cribriform, micropapillary, papillary, and solid. More recent classifications categorize DCIS into three grades (low, intermediate, and high) based primarily on nuclear grade and/or necrosis.

Ductal Carcinoma In Situ, Cribriform Pattern
Ductal Carcinoma In Situ, Cribriform Pattern

DCIS with a cribriform pattern is seen here. Round, rigid extracellular lumens with a punched-out appearance are seen. The neoplastic cells show polarization around these lumens. 

Ductal Carcinoma In-Situ, Micropapillary Pattern
Ductal Carcinoma In-Situ, Micropapillary Pattern

DCIS with a micropapillary pattern is seen here. Tufts of proliferating cells are seen projecting into the lumen of the ductal-lobular spaces.

Ductal Carcinoma In-Situ, Micropapillary Pattern
Ductal Carcinoma In-Situ, Micropapillary Pattern

The micropapillae lack fibrovascular cores that are characteristic of true papillary lesions.

Ductal Carcinoma In-Situ, Micropapillary Pattern
Ductal Carcinoma In-Situ, Micropapillary Pattern

The micropapillae often show a club-like appearance, being narrow at the base and then broadening towards the lumen. The cells in the micropapillae have a uniform appearance and an even distribution.

Ductal Carcinoma In-Situ, Solid Pattern
Ductal Carcinoma In-Situ, Solid Pattern

DCIS with a solid growth pattern shows a ductal-lobular space filled with solid sheets of cohesive cells.

Ductal Carcinoma In-Situ, Solid Pattern
Ductal Carcinoma In-Situ, Solid Pattern

Higher magnification of the previous image showing an involved space filled with solid sheets of cohesive cells. Necrosis is usually not seen in low grade DCIS.

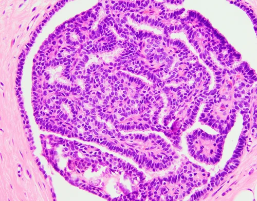
Ductal Carcinoma In Situ, Papillary Type
Ductal Carcinoma In Situ, Papillary Type

In DCIS with papillary growth pattern, true fibrovascular cores are seen. They are distinct from papillomas with DCIS because they do not show evidence of residual benign papilloma.

Ductal Carcinoma In Situ, Papillary Type
Ductal Carcinoma In Situ, Papillary Type

The neoplastic cells in DCIS with papillary pattern are uniform and are oriented perpendicular to the fibrovascular stalks. The nuclei are hyperchromatic. The papillae of papillary DCIS are more delicate and less fibrotic as compared to that of intraductal papillomas. 

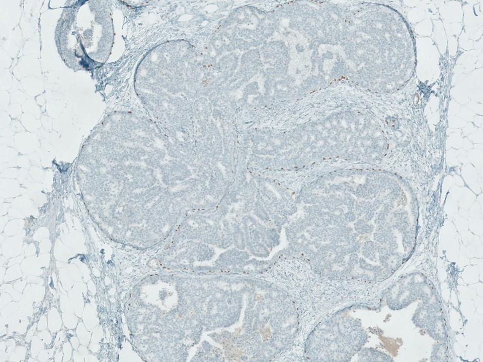
Ductal Carcinoma In Situ, Papillary Type, p63
Ductal Carcinoma In Situ, Papillary Type, p63

Markers for myoepithelial cells (p63 shown here) will show an absence of myoepithelial cells lining the papillary structures, but present at the periphery of the spaces.

Ductal Carcinoma In Situ, Solid Pattern with Comedonecrosis
Ductal Carcinoma In Situ, Solid Pattern with Comedonecrosis

Calcifications and necrosis can be associated with DCIS. Comedo, or central-type, necrosis is often present in high grade DCIS, but is not required for the diagnosis.

Ductal Carcinoma In Situ, Solid Pattern with Comedonecrosis
Ductal Carcinoma In Situ, Solid Pattern with Comedonecrosis

Comedo-type, or central, necrosis

Ductal Carcinoma In Situ, Solid Pattern with Comedonecrosis
Ductal Carcinoma In Situ, Solid Pattern with Comedonecrosis

In some instances of DCIS with solid pattern, numerous microacini or rosette-like structures can be seen. they are characterized by polarization of cells around small lumens.

Ductal Carcinoma In-Situ, Cribriform Pattern with Comedonecrosis
Ductal Carcinoma In-Situ, Cribriform Pattern with Comedonecrosis
Ductal Carcinoma In-Situ, Comedo Pattern
Ductal Carcinoma In-Situ, Comedo Pattern
Ductal Carcinoma In-Situ, Clinging Pattern
Ductal Carcinoma In-Situ, Clinging Pattern

In some instances, necrosis can become so extensive that only one or a few cell layers remain at the periphery of the involved space. This is referred to "clinging" pattern.

Ductal Carcinoma In-Situ, With Apocrine Features
Ductal Carcinoma In-Situ, With Apocrine Features

In DCIS with apocrine features, the cells have enlarged nuclei with increased pleomorphism and prominent nucleoli. The cells have abundant eosinophilic cytoplasm.

Ductal Carcinoma In-Situ, With Apocrine Features
Ductal Carcinoma In-Situ, With Apocrine Features
Ductal Carcinoma In Situ Involving Lobules
Ductal Carcinoma In Situ Involving Lobules
Ductal Carcinoma In Situ Involving Lobules
Ductal Carcinoma In Situ Involving Lobules
DCIS Involving a Radial Scar
DCIS Involving a Radial Scar

Radial scars are sclerosing lesions characterized by a central, sclerotic nidus from which the ducts and lobules radiate. The glands may show proliferative changes including UDH, ADH, or DCIS (as shown here).

Atypical Ductal Hyperplasia
Atypical Ductal Hyperplasia

ADH has a cell population that is similar to that of low-grade DCIS (small, uniform cells with rounded nuclei that are evenly spaced and have well-defined borders). However, the atypical cell population is only present in a portion of the involved space while the other portion consists of either UDH or residual normal epithelium. Some authors also include in the definition of ADH lesions that have all of the cytologic and architectural criteria of low-grade DCIS but are limited in extent. Different size criteria have been proposed (2 separate spaces vs < 2 mm vs 2-3 mm)

Atypical Ductal Hyperplasia Arising in a Background of Flat Epithelial Atypia
Atypical Ductal Hyperplasia Arising in a Background of Flat Epithelial Atypia

ADH can have varied architectural features including bridges and arcades of uniform thickness, micropapillations, cribriform pattern, and solid pattern.

Atypical Ductal Hyperplasia Arising in a Background of Flat Epithelial Atypia
Atypical Ductal Hyperplasia Arising in a Background of Flat Epithelial Atypia

A micropapillary pattern of ADH is seen here arising in a background of FEA. The micropapillations have a club-like architecture.

Atypical Ductal Hyperplasia, Arcades
Atypical Ductal Hyperplasia, Arcades
Atypical Ductal Hyperplasia, Arcades
Atypical Ductal Hyperplasia, Arcades
Atypical Ductal Hyperplasia, Clubs
Atypical Ductal Hyperplasia, Clubs
Atypical Ductal Hyperplasia, Clubs
Atypical Ductal Hyperplasia, Clubs

Lobular carcinoma in situ / Atypical Lobular Hyperplasia

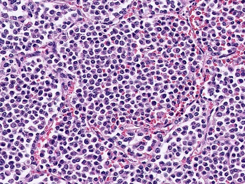
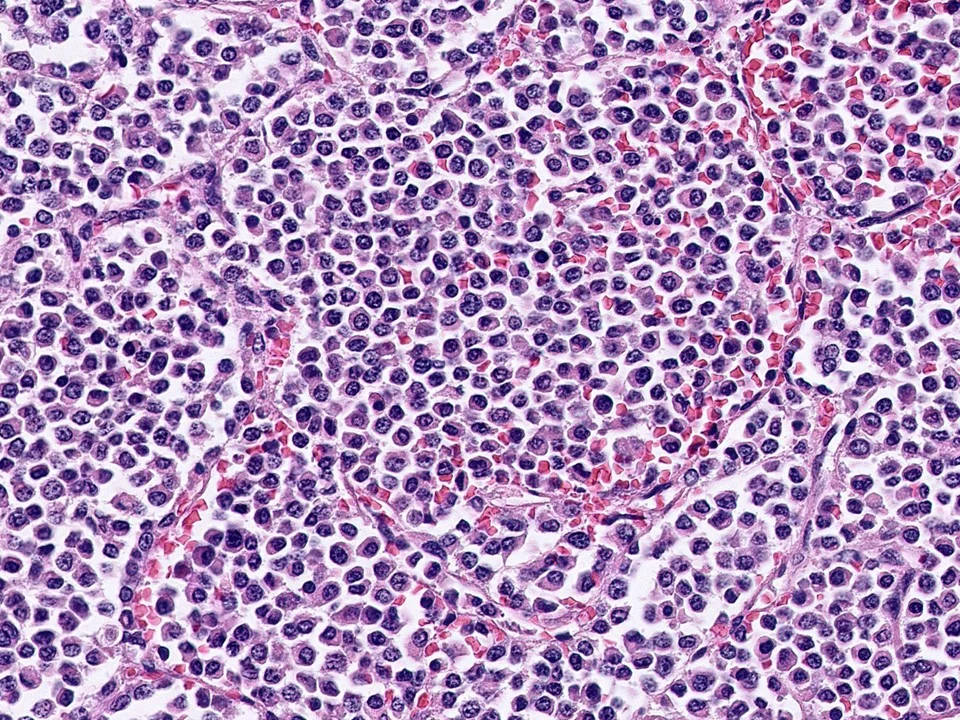
Lobular Carcinoma In Situ, Type A and Type B Cells
Lobular Carcinoma In Situ, Type A and Type B Cells

 Lobular carcinoma in situ is relatively uncommon, being reported in about 0.5-3.6% of breast biopsies in the premammographic era.  Classic LCIS and ALH are characterized by a proliferation of small, loosely cohesive, neoplastic epithelial cells within the TDLU.

Lobular Carcinoma In Situ, Type B Cells
Lobular Carcinoma In Situ, Type B Cells

LCIS lesions are characterized by loss of cell membrane expression of E-cadherin. Classical LCIS are typically strongly and diffusely ER positive, and only rarely will show HER2 overexpression. 
The cells are most often loosely cohesive and do not polarize around spaces (vs DCIS). 

Lobular Carcinoma In Situ, Type A and Type B Cells
Lobular Carcinoma In Situ, Type A and Type B Cells

The cells are most often loosely cohesive and do not polarize around spaces (vs DCIS). One form of classic LCIS has small, uniform nuclei, and is referred to as type A cells. Some LCIS lesions may have cells that show more abundant cytoplasm, slightly more variation in cell and nuclear size/shape, and have nucleoli. These are referred to as type B cells

Lobular Carcinoma In Situ, Type A and Type B Cells
Lobular Carcinoma In Situ, Type A and Type B Cells

Higher magnification of the previous image. Here, LCIS is seen with a mixture of smaller, central type A cells and larger, peripheral type B cells.

Pleomorphic Lobular Carcinoma In Situ
Pleomorphic Lobular Carcinoma In Situ

In some cases, the nuclear, cytoplasmic, and/or architectural features deviate from classic LCIS, referred to as pleomorphic LCIS

Pleomorphic Lobular Carcinoma In Situ
Pleomorphic Lobular Carcinoma In Situ

Pleomorphic LCIS is characterized by nuclear pleomorphism with at least a 2 to 3 fold variation in nuclear size, nuclear membrane irregularity, and variably prominent nucleoli. In some cases, the cells may have apocrine features. Mitoses may be observed and may be numerous. Foci of comedo-type necrosis may be present, and may undergo calcification

Pleomorphic Lobular Carcinoma In Situ
Pleomorphic Lobular Carcinoma In Situ

The cells of pleomorphic LCIS are also usually ER positive, but some may show weaker expression or even be negative. They can have a high proliferative rate. They may show HER2 overexpression. They may also show p53 protein accumulation suggestive of a p53 mutation. They may express androgen receptor

Pleomorphic LCIS with apocrine differentiation
Pleomorphic LCIS with apocrine differentiation
Pleomorphic LCIS with apocrine differentiation
Pleomorphic LCIS with apocrine differentiation
Pleomorphic LCIS with apocrine differentiation
Pleomorphic LCIS with apocrine differentiation
LCIS with necrosis
LCIS with necrosis

LCIS may sometimes show a comedo-type necrosis and may mimic DCIS. Careful attention to the histologic features of the cells is needed. Immunostains can be helpful in these cases.

LCIS with necrosis
LCIS with necrosis
LCIS with necrosis
LCIS with necrosis
Atypical Lobular Hyperplasia
Atypical Lobular Hyperplasia

Like LCIS, ALH is usually an incidental finding. It is characterized by a proliferation of small, poorly cohesive epithelial cells in the TDLU that are cytologically and immunophenotypically identical to the cells of LCIS.  What differs between the two is degree of involvement of the TDLU.

Atypical Lobular Hyperplasia
Atypical Lobular Hyperplasia

There is no sharp line between ALH and LCIS. By one set of criteria, at least one-half of the spaces in a given lobule need be filled and distended by the characteristic cells to warrant a diagnosis of LCIS. Those with lesser degrees of involvement are deemed ALH.

Atypical Lobular Hyperplasia
Atypical Lobular Hyperplasia

On higher magnification, the cells of ALH are cytologically identical to those of LCIS, with small, monomorphic cells within the acini.

Lobular Neoplasia With Pagetoid Spread
Lobular Neoplasia With Pagetoid Spread

LCIS with pagetoid involvement of a duct. The LCIS cells are present between the duct basement membrane and an attenuated layer of residual native duct epithelium.

Lobular Neoplasia With Pagetoid Spread
Lobular Neoplasia With Pagetoid Spread

Higher magnification of the previous image.

Collagenous Spherulosis Involving Lobular Carcinoma In Situ
Collagenous Spherulosis Involving Lobular Carcinoma In Situ

This area involved by LCIS shows a proliferation of small, uniform cells and round, punched out spaces.

Collagenous Spherulosis Involving Lobular Carcinoma In Situ
Collagenous Spherulosis Involving Lobular Carcinoma In Situ

The punched out spaces mimick cribriform pattern ductal carcinoma in situ.

Collagenous Spherulosis Involving Lobular Carcinoma In Situ
Collagenous Spherulosis Involving Lobular Carcinoma In Situ

However, on closer examination, the spaces contain eosinophilic basement membrane material and myxoid material, consistent with collagenous spherulosis. Immunostain for E-cadherin would show lack of staining in the monomorphic epithelial cells of LCIS, with focal staining seen in the myoepithelial cells surrounding the spaces (comprising the collagenous spherulosis).

Invasive Breast Carcinomas

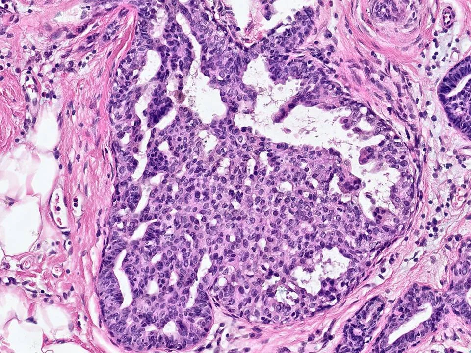
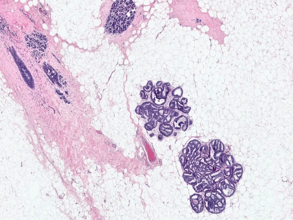
Microinvasive Carcinoma
Microinvasive Carcinoma

Microinvasive carcinoma is most commonly seen in association with large areas of high-grade DCIS. It is characterized by extension of cancer cells beyond the basement membrane of the ductal-lobular system into adjacent tissue. By definition (AJCC criteria), no focus is greater than 0.1 cm in greatest dimension. 

Histologically, clues that should heighten suspicion for microinvasive carcinoma include periductal stromal desmoplasia and periductal lymphoid infiltrates, as well as the involvement of lobules with HG DCIS. The cells that comprise the microinvasive carcinoma share cytologic features with the DCIS and may be present as single cells, small, solid cell clusters, or glands.

Microinvasive carcinoma should be distinguished from a number of mimickers including DCIS involving lobules, branching of involved ducts, DCIS involving benign sclerosing processes. Immunostains for myoepithelial cell markers can be helpful in distinguishing true microinvasion from its mimics.

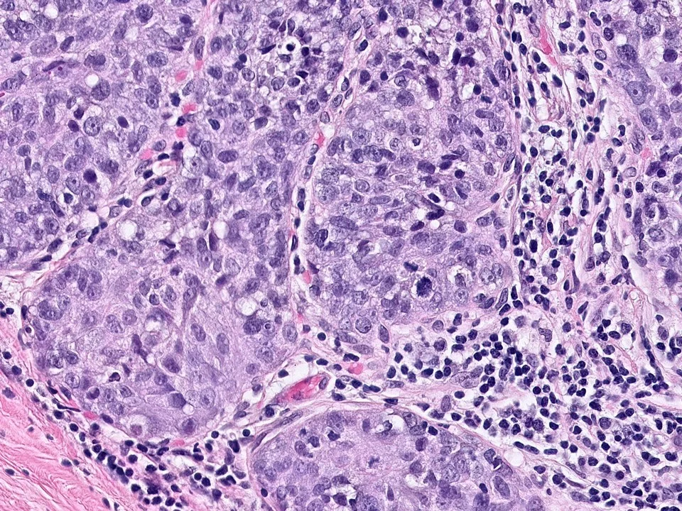
Invasive Ductal Carcinoma, Grade 3, With Extensive Lymphovascular Invasion
Invasive Ductal Carcinoma, Grade 3, With Extensive Lymphovascular Invasion

Invasive ductal carcinomas are the most common type of invasive breast cancer (70-75% of cases). They are heterogeneous with regards to pathologic features and clinical course. 

Histologically, IDCs vary with regard to growth pattern (eg tubular vs solid), cytologic features, mitotic activity, stromal desmoplasia, and extent of associated in-situ component. The degree of gland formation, nuclear atypia, and mitotic activity are considered together in determining the combined histologic grade.

Three universally accepted biomarkers are used in daily practice currently: estrogen receptor (ER), progesterone receptor (PR), and HER2. Studies have shown about 70-80% of IDCs are ER+ and 15% show HER3 overexpression. 

Invasive Lobular Carcinoma
Invasive Lobular Carcinoma

Invasive lobular carcinomas are the second most common type of invasive breast cancer and account for about 5-15% of invasive carcinomas. Clinically, on physical examination and mammography, ILCs may be very subtle. They are characterized by multifocality in the ipsilateral breast and are more often bilateral than other types of invasive breast cancers.

Histologically, ILCs show distinctive cytologic features and patterns of tumor cell infiltration. The classical form is characterized by small, relatively uniform neoplastic cells that invade the stroma singly and in a single-file or stranding pattern. The cells frequently encircle mammary ducts in a concentric pattern (as shown). Of note, the tumor cells may insidiously invade the stroma, evoking little or no desmoplastic stromal reaction or alteration of the background architecture. The tumor cells may demonstrate intracytoplasmic vacuoles that may contain an eosinophilic globule.  The tumor cells are loosely cohesive (the molecular basis for this being loss of E-cadherin on the tumor cell membranes, which can be demonstrated by loss of E-cadherin IHC).

Invasive Lobular Carcinoma, with Pleomorphic Features
Invasive Lobular Carcinoma, with Pleomorphic Features

There are variant forms of invasive lobular carcinoma that vary with regard to architectural and/or cytologic features. In the pleomorphic variant, the tumor cells are larger than those seen in the classical type of ILC. Additionally, they demonstrate more nuclear variation, and may show apocrine features.

Invasive Lobular Carcinoma, with Pleomorphic Features
Invasive Lobular Carcinoma, with Pleomorphic Features

The tumor cells in the pleomorphic variant of ILC infiltrate the stroma singly and in linear strands, as in the classic type of ILC. However, the cells are larger and show more nuclear variation compared to the classic type.

Invasive Lobular Carcinoma, Solid Variant
Invasive Lobular Carcinoma, Solid Variant

Variant forms of invasive lobular carcinoma differ from the classical form with regard to architectural and/or cytologic features. In the solid variant, the cells comprising the tumor are cytologically similar to those of the classical form of ILC. However, they differ with regard to growth pattern.

Invasive Lobular Carcinoma, Solid Variant
Invasive Lobular Carcinoma, Solid Variant

In the solid variant of invasive lobular carcinoma, the tumor cells grow in large confluent sheets with little intervening stroma.

Invasive Lobular Carcinoma, Solid Variant
Invasive Lobular Carcinoma, Solid Variant

The neoplastic cells of the solid variant of invasive lobular carcinoma show similar cytologic features to the classic type. The cells are small and uniform. Loss of cohesion, which is a feature commonly present in ILC, is demonstrated in this solid area.

Invasive Lobular Carcinoma, Alveolar Variant
Invasive Lobular Carcinoma, Alveolar Variant

Variant forms of invasive lobular carcinoma differ from the classical form with regard to architectural and/or cytologic features. In the alveolar variant, the cells comprising the tumor are cytologically similar to those of the classical form of ILC. However, they differ with regard to growth pattern.

Invasive Lobular Carcinoma, Alveolar Variant
Invasive Lobular Carcinoma, Alveolar Variant

The alveolar variant of invasive lobular carcinoma is characterized by tumor cells that grow in groups of 20 or more cells that are separate from each other by delicate fibrovascular stroma.

Invasive Lobular Carcinoma, Alveolar Variant
Invasive Lobular Carcinoma, Alveolar Variant

The alveolar variant of invasive lobular carcinoma demonstrates sharply outlined, rounded groups of 20 or more cells that resemble alveoli. They are separated by delicate fibrovascular tissue. They may also have osteoclast giant cells (not pictured).

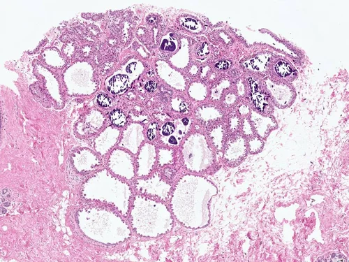
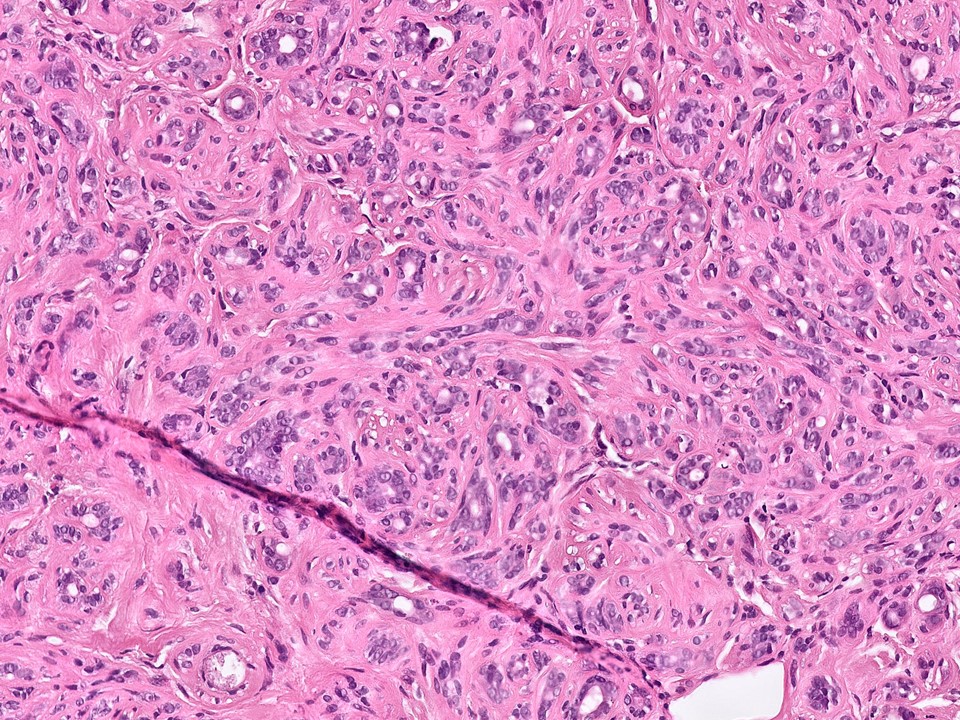
Tubular Carcinoma
Tubular Carcinoma

Tubular carcinoma is a special type of invasive breast cancer that is associated with limited metastatic potential and an excellent prognosis (in fact, some studies show a prognosis similar to that of age-matched women without breast cancer). The term "tubular" refers to the unique morphology of this tumor. Pure tubular carcinomas constitute less than 2% of all breast carcinomas. They tend to be small in size and relatively are more frequently T1 tumors.

The majority (60-70%) present as a nonpalpable mammographic abnormality. They may sometimes even be found incidentally in biopsies performed for other reasons.

Tubular carcinomas are virtually always ER and PR positive. They rarely if ever show HER2 overexpression.

Tubular Carcinoma
Tubular Carcinoma

Histologically, tubular carcinomas are characterized by a haphazard proliferation of small, well-formed glands and tubules. The glands or tubules are composed of a single layer of epithelial cells without a surrounding myoepithelial cell layer. The stroma between the glands usually demonstrate desmoplastic features, and prominent elastosis may be seen in some cases.

Tubular Carcinoma
Tubular Carcinoma

The tubules are ovoid in shape and have sharply angular contours with tapering ends and open, widely patent lumens. The neoplastic cells are cuboidal or columnar and have round to oval nuclei that tend to be basally oriented and show low-grade atypia. Cytoplasmic tufts or snouts are often present at the luminal cell border. Mitoses are rarely seen and necrosis is absent.

It is the general consensus that >90% of the tumor should exhibit the characteristic morphology to be categorized as a pure tubular carcinoma.

Mimickers include sclerosing adenosis, radial scars/complex sclerosing lesions, microglandular adenosis, and tubular adenosis. Immunostains may be needed, especially for myoepithelial cell markers (although not helpful for the DDX of MGA, which will lack an outer myoepithelial cell layer as well, and would need S100 to aide in diagnosis). Tubular carcinomas should also be distinguished from invasive ductal carcinomas of no specific type (which have a poorer prognosis relatively), which would not have the same ovoid shape, pointed ends, and apical cytoplasmic snouts that characterize the glands of tubular carcinoma.

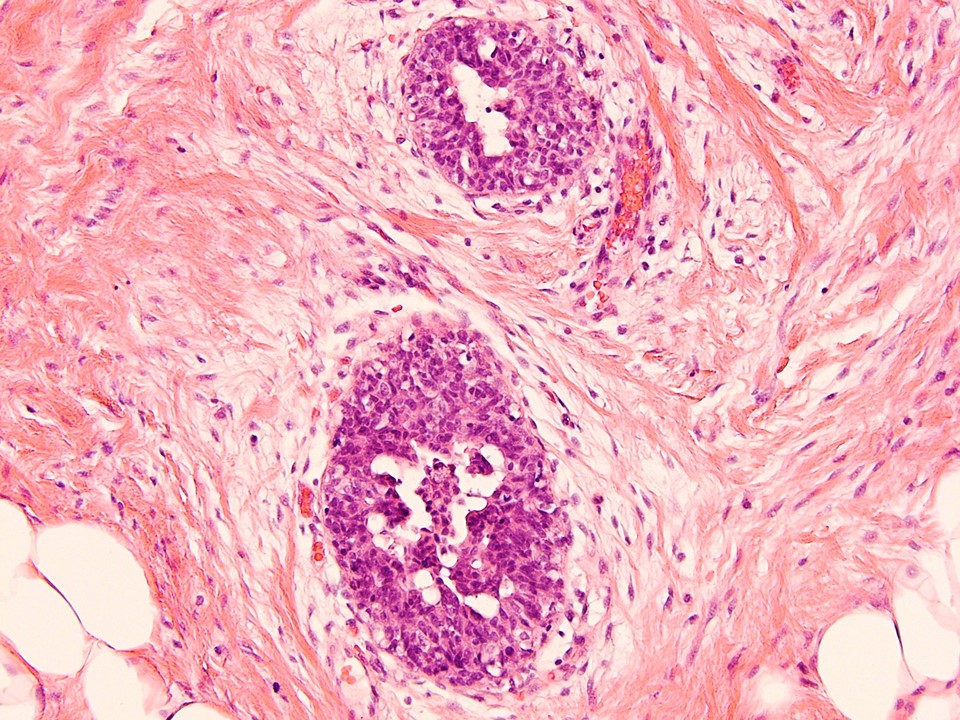
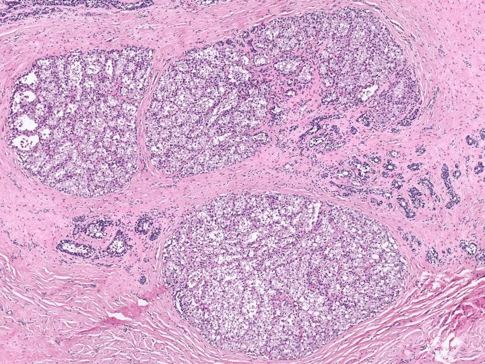
Invasive Cribriform Carcinoma
Invasive Cribriform Carcinoma

Invasive cribriform carcinoma is a well-differentiated carcinoma and is associated with a favorable prognosis. It accounts for 1-3.5% of invasive breast cancers. 

Histologically, they are characterized by tumor cells that invade the stroma as cribriform or fenestrated cellular islands. These resemble cribriform pattern DCIS (which is associated in 80% of cases). They often show a mixture of other histologic patterns, especially tubular carcinoma (found in 20% of cases). 

Invasive Cribriform Carcinoma
Invasive Cribriform Carcinoma

The rounded and angular masses of uniform, well-differentiated tumor cells are embedded in variable amounts of collagenous stroma. The glandular spaces are sharply outlined, round, or oval. Mucin positive secretion is variably seen in the lumens.

Invasive cribriform carcinoma should be distinguished from adenoid cystic carcinoma, which are also commonly characterized by cribriform tumor cell nests. Adenoid cystic carcinomas will have a dual epithelial/myoepithelial cell population and intraluminal mucoid and/or basement membrane material which can help distinguishing the two. Additionally, adenoid cystic carcinoma is typically ER negative, while invasive cribriform carcinoma is typically ER positive. Invasive cribriform carcinoma can be distinguished from cribriform pattern DCIS by identifying at least some tumor cell nests with irregular, sharp, and angulated borders, as well as identifying a desmoplastic stroma.

Mucinous Carcinoma
Mucinous Carcinoma

Mucinous carcinoma is another special type of breast cancer that has a favorable prognosis. It is also referred to as colloid carcinoma. Pure mucinous carcinomas are uncommon and account for ~2% of breast cancers. 

Pure mucinous carcinomas are defined as tumors with at least 90% mucinous component. The term "mixed mucinous carcinoma" should be used for tumors in which the mucinous component comprises between 50-90% of the lesion. If there is <50% mucinous component, the lesion is best referred to as invasive ductal carcinoma with mucinous features. Mixed mucinous carcinomas are best managed as invasive ductal carcinomas not otherwise specified.

Mucinous Carcinoma
Mucinous Carcinoma

Mucinous carcinoma is characterized by abundant production of extracellular mucin with admixed clusters of tumor cells. The extent of extracellular mucin production varies from tumor to tumor. Histologically, small clusters of tumor cells are seen dispersed within pools of extracellular mucin. Thin fibrous septae with thin-walled blood vessels are identified. 

Mucinous carcinomas can be classified based on cellularity into Type A (paucicellular) and Type B (highly cellular). Type B mucinous carcinomas often have endocrine differentiation.

Mucinous carcinomas are usually ER positive and about 70% are PR positive. They usually do not show HER2 overexpression.

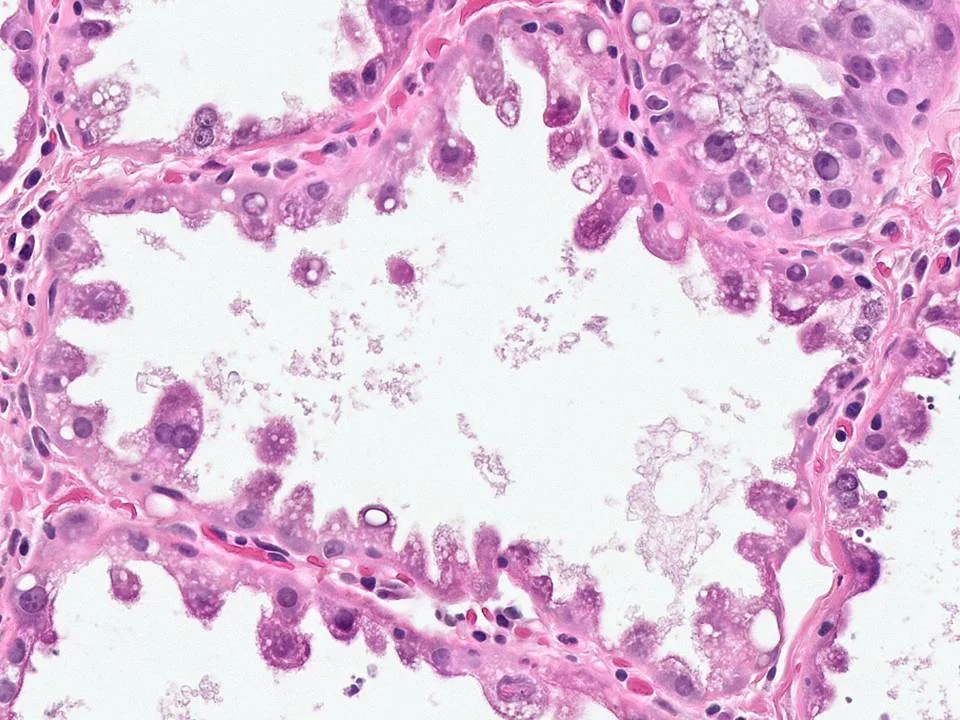
Invasive Micropapillary Carcinoma
Invasive Micropapillary Carcinoma

Invasive micropapillary carcinoma is rare in pure form, accounting for <2% of breast cancers. It is more commonly seen admixed with other tumor types, particularly invasive ductal carcinomas of no specific type.

Peritumoral lymphovascular invasion is present in 50-70% of these tumors. Up to 75% of patients with invasive micropapillary carcinoma tend to have axillary lymph node metastases at the time of initial presentation. Information about the clinical course of invasive micropapillary carcinoma is limited. Most studies suggest that breast cancers with micropapillary features are more aggressive and have poorer prognosis compared to those without these features. However, studies have shown that while these tumors typically present with higher stage disease than patients with invasive carcinoma of NST (ie more likely to have positive lymph nodes), the prognosis of the two groups is similar when adjusted for stage.

Invasive Micropapillary Carcinoma
Invasive Micropapillary Carcinoma

Histologically, invasive micropapillary carcinoma is characterized by clusters of cells with a micropapillary or tubular-alveolar arrangement. The clusters of cells appear to be suspended in clear spaces. 

Invasive Micropapillary Carcinoma
Invasive Micropapillary Carcinoma

Unlike true papillary lesions, no fibrovascular cores are identified. The clusters of cells have an "inside-out" arrangement, with the apical surface polarized to the outside, toward the stroma. This feature can be highlighted by EMA immunostain.

The majority of invasive micropapillary carcinomas are ER+, and about half are PR+. HER2 overexpression has been reported in up to one-third.

Metastatic carcinomas with micropapillary pattern, such as those from the ovaries, lungs, or bladder, should be considered in appropriate clinical settings. While the majority of invasive micropapillary carcinomas demonstrate a DCIS component (~70%), metastatic carcinomas will not show DCIS (as expected).

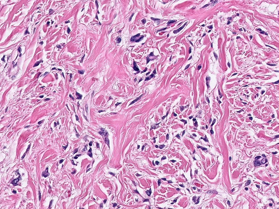
Adenoid Cystic Carcinoma
Adenoid Cystic Carcinoma

Adenoid cystic carcinoma is rare, accounting for <0.1% of all breast cancers. It is morphologically identical to its salivary gland counterpart. Adenoid cystic carcinoma of the breast is associated with an excellent prognosis.

Adenoid Cystic Carcinoma
Adenoid Cystic Carcinoma

Histologically, adenoid cystic carcinoma of the breast are identical to those that arise in the salivary glands. They are composed of epithelial cells (with varying degrees of glandular, squamous, and sebaceous differentiation) and myoepithelial/basaloid cells producing abundant basement membrane material. 

These tumors can have variable architectural patterns including cribriform, solid, trabecular, and tubular patterns [cribriform (top of image) and tubular (bottom of image) patterns seen here]. 

Adenoid Cystic Carcinoma
Adenoid Cystic Carcinoma

Seen here is invasive tumor with conspicuous solid pink cylindromatous nodules, the characteristic collections of acellular, eosinophilic basement membrane material. In addition to the eosinophilic spherules composed of the basement membrane components type IV collagen and laminin, the pseudolumens may also contain myxoid material or basophilic secretions..

The cells will show variable staining for myoepithelial markers. They are usually ER-, PR-, and lack HER2 overexpression (ie are triple negative cancers). A characteristic feature is expression of CD117 (c-kit). They are characterized by a recurrent translocation t(6;9) that results in a MYB-NFIB fusion gene.

Adenoid cystic carcinoma belongs to the basal-like group in gene expression profiling studies. 

Apocrine Carcinoma
Apocrine Carcinoma

Less than 1% of invasive breast carcinomas demonstrate pure apocrine features, although many invasive breast cancers show some evidence of apocrine differentiation. Apocrine differentiation is characterized by cells with abundant, foamy to granular eosinophilic cytoplasm and round nuclei with prominent nucleoli. Apocrine differentiation may occur in invasive ductal carcinoma, invasive lobular carcinoma, and other breast cancer types, and thus the term 'invasive apocrine carcinoma' comprises a heterogeneous group. Thus, these are best characterized according to the underlying histologic pattern. The prognosis does not appear to differ from that of invasive ductal carcinoma of no specific type

 

Apocrine Carcinoma
Apocrine Carcinoma

Carcinomas with apocrine features are ER negative, PR negative. They show expression of androgen receptor. HER2 overexpression has been reported in ~40-50%.

The differential diagnosis includes histiocytic infiltrate or a granular cell tumor due to the foamy or granular nature of the cytoplasm in these lesions. In tricky cases, IHC for cytokeratin would be helpful.

Acinic Cell Carcinoma
Acinic Cell Carcinoma

Acinic cell carcinoma of the breast is extremely rare. Histologically, it similar to the salivary gland counterpart and has serous differentiation. 

Acinic Cell Carcinoma
Acinic Cell Carcinoma

These carcinomas show diffuse infiltrative growth patterns of small glandular structures. They are composed of cells that resemble acinar cells of the salivary gland, with central round nuclei and prominent nucleoli, and granular or clear cytoplasm. Scattered cells with dark eosinophilic coarse granules can be seen and resemble Paneth cells. 

Acinic Cell Carcinoma, Alpha1 antichymotrypsin
Acinic Cell Carcinoma, Alpha1 antichymotrypsin

Acinic cell carcinoma can stain for alpha1 anti-chymotrypsin (seen here), lysozyme, EMA, and myoepithelial markers (including S100). The granules are PAS+ diastase resistant. Cytokeratin 7 is positive (may be focal or weak). Amylase is also positive. They are negative for ER, PR, HER2, cytokeratin 20, GCDFP-15, and CD68.

Acinic Cell Carcinoma, Lysozyme
Acinic Cell Carcinoma, Lysozyme

Acinic cell carcinoma can stain for alpha1 anti-chymotrypsin, lysozyme (seen here), EMA, and myoepithelial markers (including S100). The granules are PAS+ diastase resistant. Cytokeratin 7 is positive (may be focal or weak). Amylase is also positive. They are negative for ER, PR, HER2, cytokeratin 20, GCDFP-15, and CD68.

Fibroepithelial Lesions

Fibroadenoma
Fibroadenoma

Fibroadenomas are the most common benign tumors of the female breast. They are predominantly found in young women (under age 30), present as solitary, palpable, firm, mobile mass, and are usually <3 cm in size. Grossly, they have a tan-grey, bulging, lobulated cut surface, often with visible slit-like spaces. 

Fibroadenoma
Fibroadenoma

On histological examination, fibroadenomas are well-circumscribed and characterized by a proliferation of both stromal and glandular elements. Two growth patterns are recognized: intracanalicular and pericanalicular. The epithelium may show a variety of alterations, including metaplastic changes (esp apocrine), cystic change, and sclerosing adenosis, as well as epithelial proliferative changes (UDH, ADH, ALH, LCIS, and DCIS). Invasive carcinoma may also involve FAs.

Hyalinized Fibroadenoma
Hyalinized Fibroadenoma

Stromal changes may include myxoid change or hyalinization.

Hyalinized Fibroadenoma
Hyalinized Fibroadenoma

Higher magnification of the prior image. 

Hyalinized Fibroadenoma
Hyalinized Fibroadenoma

Stromal changes may include hyalinization. These are more commonly seen in older women.

Hyalinized Fibroadenoma, With Calcifications
Hyalinized Fibroadenoma, With Calcifications

It is not unusual to see chunky calcifications associated with hyalinized fibroadenomas.

Fibroadenoma, With Stromal Giant Cells
Fibroadenoma, With Stromal Giant Cells

The stromal cells in fibroadenomas may demonstrate stromal giant cells. These should not be confused for malignancy.

Fibroadenoma, With Stromal Giant Cells
Fibroadenoma, With Stromal Giant Cells

Higher magnification of the prior image.

Fibroadenoma, With Stromal Giant Cells
Fibroadenoma, With Stromal Giant Cells

Higher magnification of the prior image.

Fibroadenoma, With Stromal Giant Cells
Fibroadenoma, With Stromal Giant Cells

Higher magnification of the prior image.

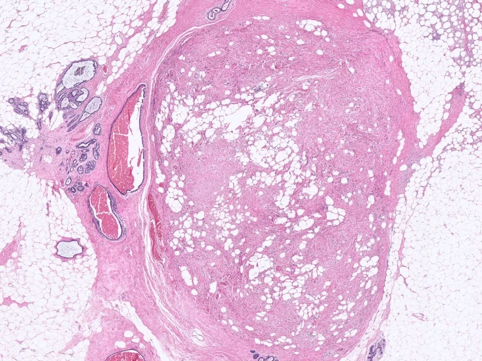
Benign Phyllodes Tumor
Benign Phyllodes Tumor

Phyllodes tumors are uncommon biphasic lesions that account for <1% of breast tumors. They generally occur in older women as compared to fibroadenomas, and often the patients have a history of a rapidly enlarging tumor. They tend to be larger than fibroadenomas, although this is not a hard and fast rule. 

Benign Phyllodes Tumor
Benign Phyllodes Tumor

Histologically, phyllodes tumors are characterized by stromal hypercellularity and prominent intracanalicular growth pattern, sometimes with branching, cleft-like spaces.

Malignant Phyllodes Tumor
Malignant Phyllodes Tumor

Frond-like projections of cellular stroma covered by epithelium and myopeithelium protruding into epithelial-lined cystic spaces create a leaf-like appearance.

Malignant Phyllodes Tumor
Malignant Phyllodes Tumor
Malignant Phyllodes Tumor
Malignant Phyllodes Tumor
Malignant Phyllodes Tumor
Malignant Phyllodes Tumor

Malignant phyllodes have an infiltrative border (as pictured here), highly cellular stroma, stromal cells with moderate to marked nuclear pleomorphism, and prominent mitotic activity (>/= 10 mits per 10 HPF)

Malignant Phyllodes Tumor
Malignant Phyllodes Tumor
Malignant Phyllodes Tumor
Malignant Phyllodes Tumor

It is difficult to predict the clinical outcome of patients with phyllodes tumors. The major clinical concern is local recurrence, with distant metastases being uncommon. The presence of malignant heterologous elements appears to be indicative of a poorer prognosis. Of note, phyllodes tumors spread hematogenuosly, not by lymphatics, so LN dissection is not indicated.

Malignant Phyllodes Tumor
Malignant Phyllodes Tumor

The differential diagnosis of a malignant phyllodes includes other spindle cell lesions such as spindle cell carcinomas and primary breast sarcomas.

Malignant phyllodes - with liposarcomatous differentiation
Malignant phyllodes - with liposarcomatous differentiation
Malignant phyllodes - with liposarcomatous differentiation
Malignant phyllodes - with liposarcomatous differentiation
Fibroadenoma With Involvement by DCIS
Fibroadenoma With Involvement by DCIS

Fibroadenomas can demonstrate a number of epithelial proliferative changes, including UDH, ADH, ALH, LCIS, or DCIS.

Papillary Lesions

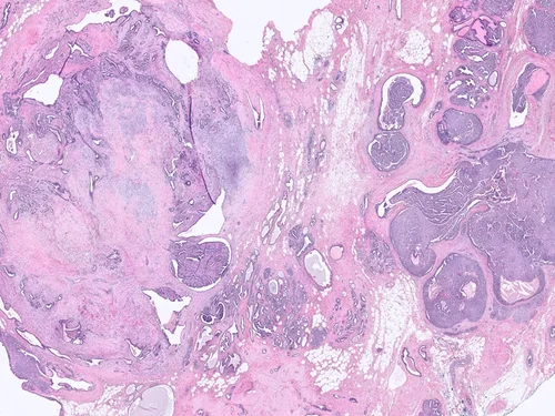
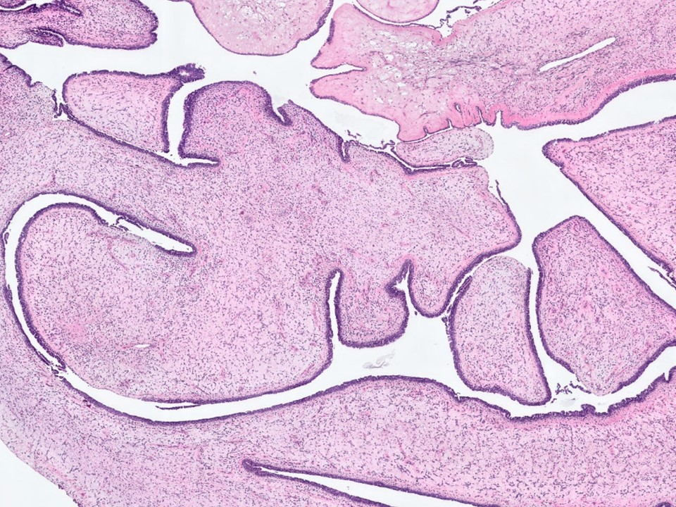
Intraductal Papilloma
Intraductal Papilloma
Intraductal Papilloma
Intraductal Papilloma
Intraductal Papilloma
Intraductal Papilloma
Intraductal Papilloma
Intraductal Papilloma
Intraductal Papilloma, with Adjacent Papillary Apocrine Metaplasia
Intraductal Papilloma, with Adjacent Papillary Apocrine Metaplasia
Sclerosing Papilloma
Sclerosing Papilloma
Intraductal Papilloma, With Focal Sclerosis
Intraductal Papilloma, With Focal Sclerosis
Sclerosing Papilloma
Sclerosing Papilloma
Sclerosing Papilloma
Sclerosing Papilloma
Sclerosing Papilloma
Sclerosing Papilloma
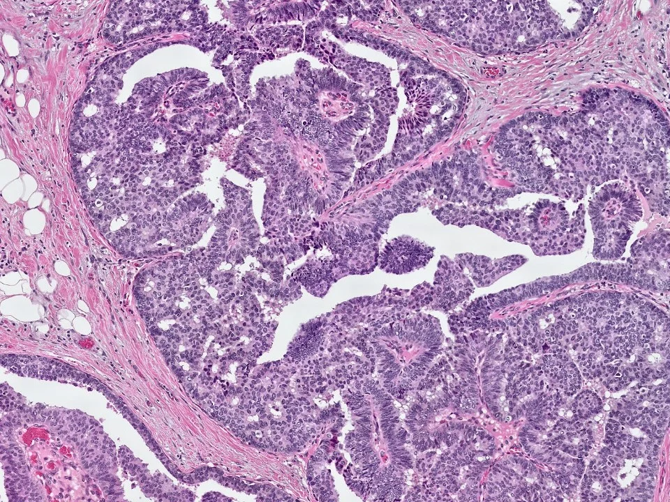
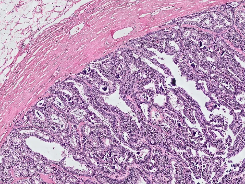
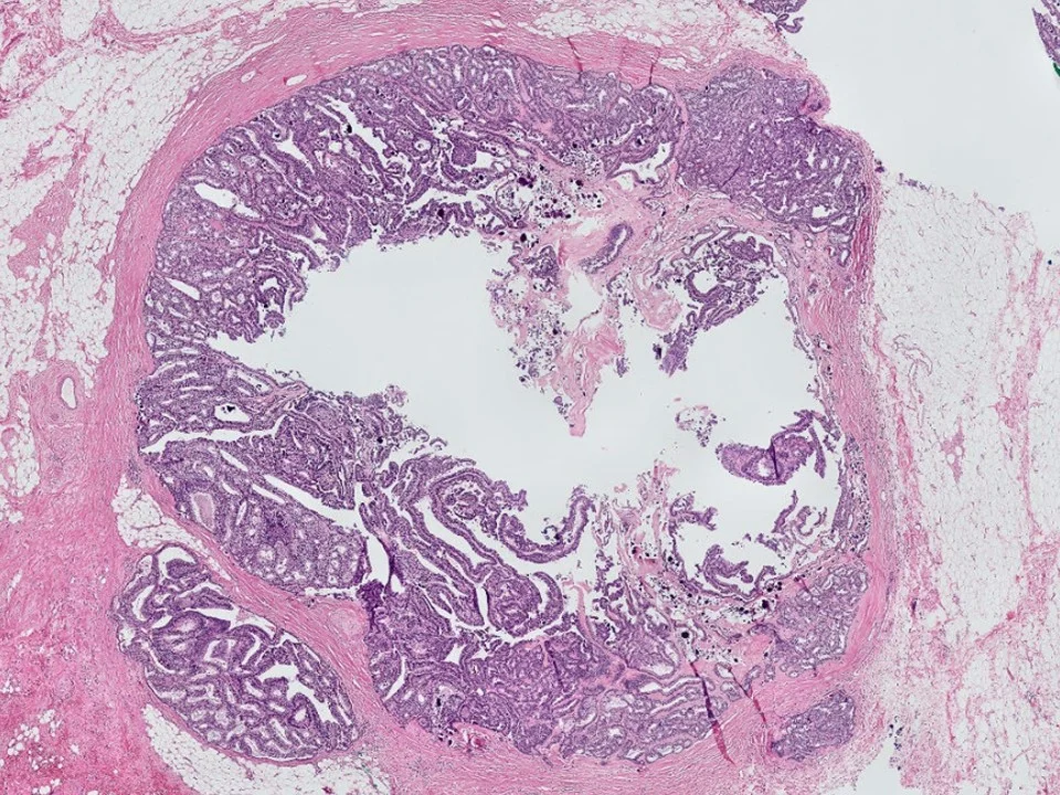
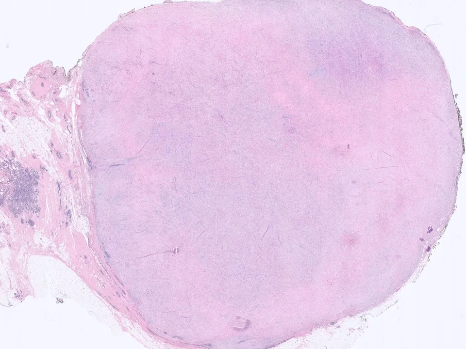
Encapsulated Papillary Carcinoma
Encapsulated Papillary Carcinoma
Encapsulated Papillary Carcinoma
Encapsulated Papillary Carcinoma
Encapsulated Papillary Carcinoma
Encapsulated Papillary Carcinoma
Encapsulated Papillary Carcinoma
Encapsulated Papillary Carcinoma
Encapsulated Papillary Carcinoma, With Adjacent Invasive Ductal Carcinoma
Encapsulated Papillary Carcinoma, With Adjacent Invasive Ductal Carcinoma
Encapsulated Papillary Carcinoma
Encapsulated Papillary Carcinoma
Encapsulated Papillary Carcinoma, With Adjacent Invasive Ductal Carcinoma
Encapsulated Papillary Carcinoma, With Adjacent Invasive Ductal Carcinoma
Collagenous Spherulosis
Collagenous Spherulosis
Collagenous Spherulosis
Collagenous Spherulosis
Collagenous Spherulosis
Collagenous Spherulosis
SC16-31023 Collagenous spherulosis2.jpg
Collagenous Spherulosis
Collagenous Spherulosis
Collagenous Spherulosis
Collagenous Spherulosis
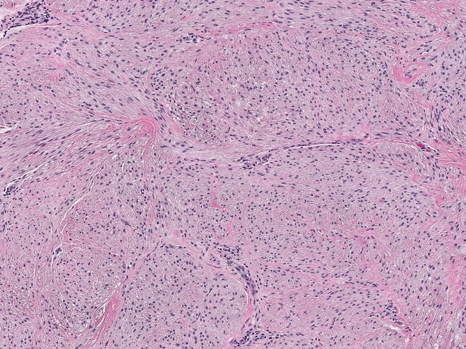
Adenomyoepithelioma
Adenomyoepithelioma
Adenomyoepithelioma
Adenomyoepithelioma

Spindle Cell Lesions

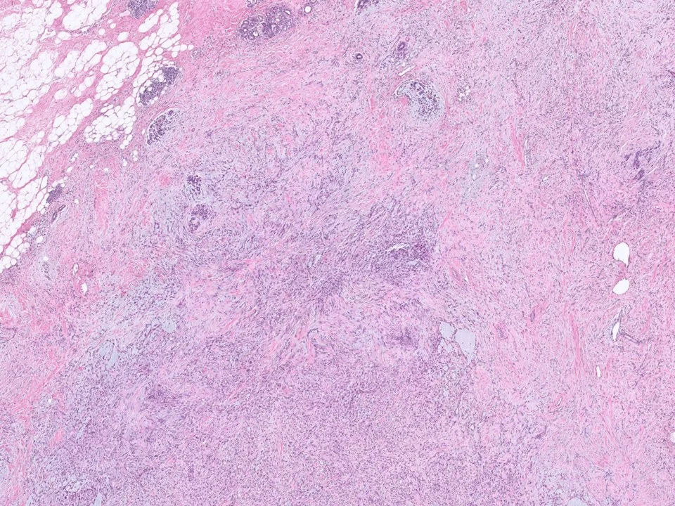
Metaplastic Carcinoma
Metaplastic Carcinoma

Metaplastic carcinomas are uncommon, representing <1% of all breast cancers. hey represent a heterogeneous group of invasive breast cancers. 

Metaplastic Carcinoma
Metaplastic Carcinoma

A variable portion of the glandular epithelial cells comprising the tumor undergoes transformation into an alternate cell type, either a nonglandular epithelial cell type (such as squamous cell) or a mesenchymal cell type (such as spindle cell, chondroid, osseous, or myoid).

While there is no universally accepted classification system, the 2011 WHO Working Group developed a descriptive classification for these lesions, with the following categories: Squamous cell carcinoma, Metaplastic carcinoma with mesenchymal differentiation, Low-grade adenosquamous carcinoma, Spindle cell carcinoma, and Fibromatosis-like metaplastic carcinoma.

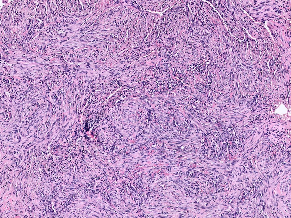
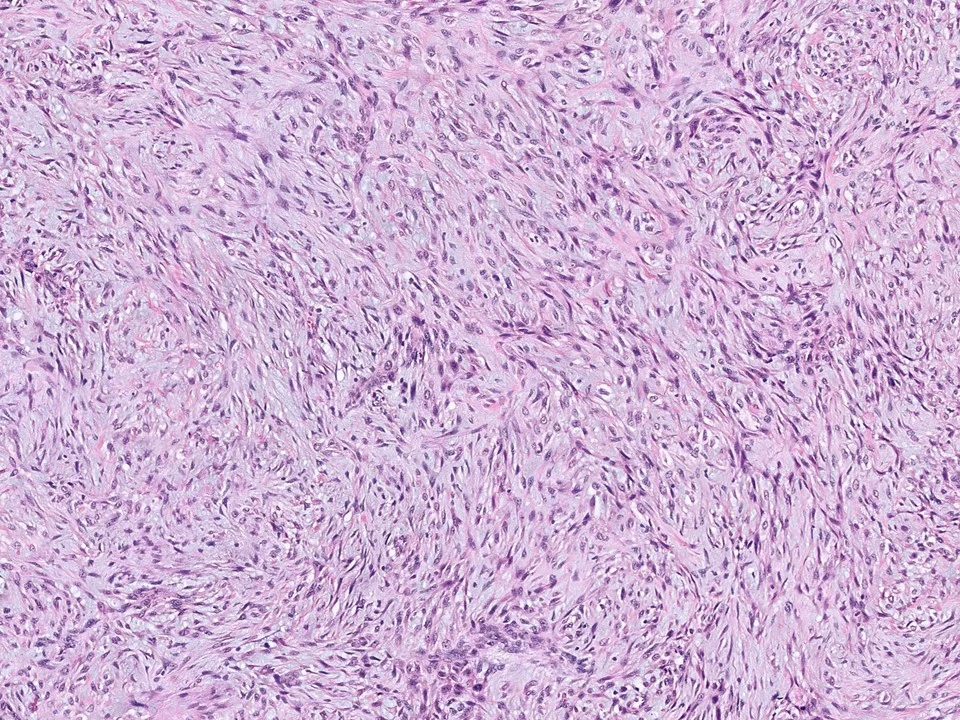
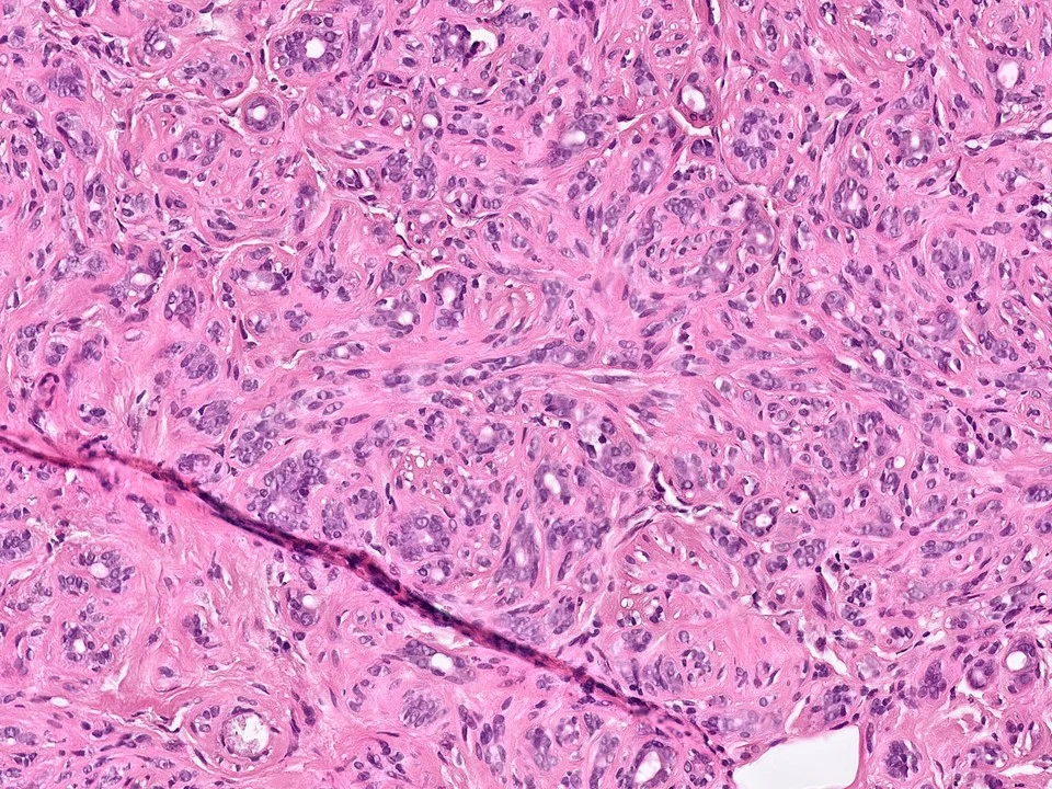
Metaplastic Carcinoma, Spindle Cell Type
Metaplastic Carcinoma, Spindle Cell Type
Metaplastic Carcinoma, Spindle Cell Type
Metaplastic Carcinoma, Spindle Cell Type

Spindle cell carcinoma is a type of metaplastic carcinoma. They are uncommon and account for less than 1% of invasive breast cancers. 

In pure spindle cell carcinomas without evidence of an epithelial component (conventional invasive ductal carcinoma or DCIS), IHC for CK and other markers may be needed to distinguish from sarcomas.

Metaplastic Carcinoma, Spindle Cell Type
Metaplastic Carcinoma, Spindle Cell Type

Histologically, the tumor is comprised of spindle cells that can vary from bland to highly pleomorphic. They may show fascicular, fasciitis-like, storiform, or haphazard growth patterns. The mitotic rate is highly variable. The borders of the lesion are typically infiltrative and irregular. Areas of squamous differentiation are not infrequent. In pure spindle cell carcinomas without evidence of an epithelial component (conventional invasive ductal carcinoma or DCIS), IHC for CK and other markers may be needed. Immunohistochemically, broad spectrum CKs such as MNF116 and HMWCK/basal CKs such as 34 beta E12 or CK5/6 have been shown to be most sensitive. The tumor cells also commonly express p63, as well as vimentin, SMA, and MSA.

Metaplastic Carcinoma, Spindle Cell Type
Metaplastic Carcinoma, Spindle Cell Type
Metaplastic Carcinoma, Spindle Cell Type, With Squamous Areas
Metaplastic Carcinoma, Spindle Cell Type, With Squamous Areas

Areas of squamous differentiation are not infrequent in spindle cell carcinomas.

Metaplastic Carcinoma, Spindle Cell Type, With Squamous Areas
Metaplastic Carcinoma, Spindle Cell Type, With Squamous Areas

Higher magnification of the previous image. Note the intercellular bridges in the cells comprising the squamous areas.

Metaplastic carcinoma - spindle cell type
Metaplastic carcinoma - spindle cell type
Metaplastic carcinoma - spindle cell type
Metaplastic carcinoma - spindle cell type

Metaplastic carcinoma - spindle cell type - p63 immunostain
Metaplastic carcinoma - spindle cell type - p63 immunostain
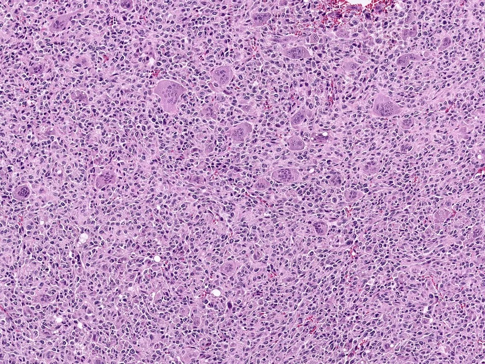
Metaplastic Carcinoma, With Osteoclast-Type Giant Cells
Metaplastic Carcinoma, With Osteoclast-Type Giant Cells
Metaplastic Carcinoma, With Osteoclast-Type Giant Cells
Metaplastic Carcinoma, With Osteoclast-Type Giant Cells
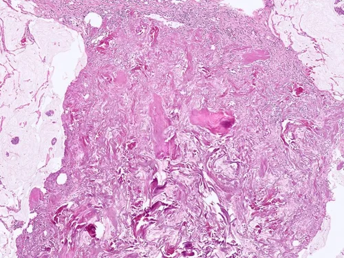
Metaplastic carcinoma - with osseous metaplasia
Metaplastic carcinoma - with osseous metaplasia
Metaplastic carcinoma - with osseous metaplasia
Metaplastic carcinoma - with osseous metaplasia
Metaplastic carcinoma - with osseous metaplasia
Metaplastic carcinoma - with osseous metaplasia
Metaplastic carcinoma - with osseous metaplasia - p63 immunostain
Metaplastic carcinoma - with osseous metaplasia - p63 immunostain
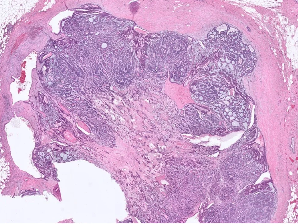
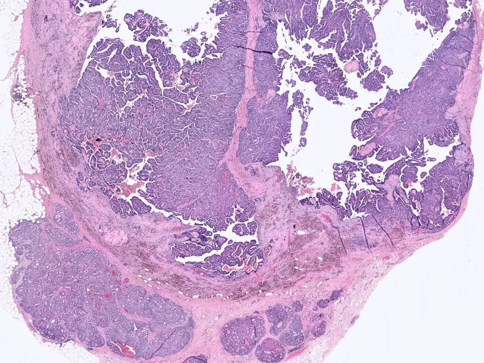
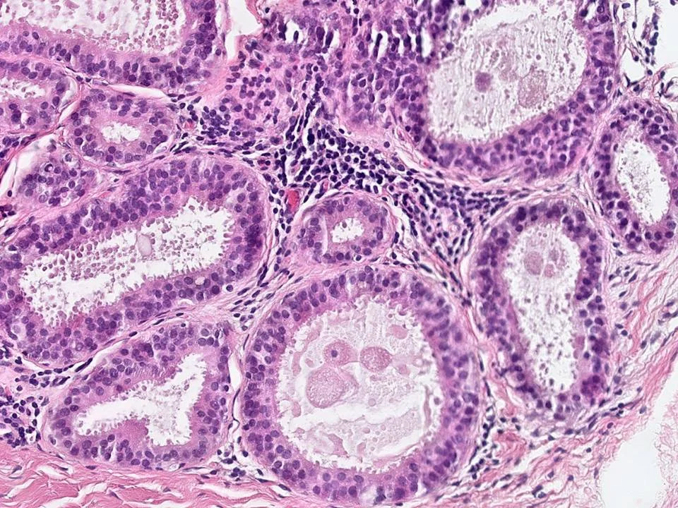
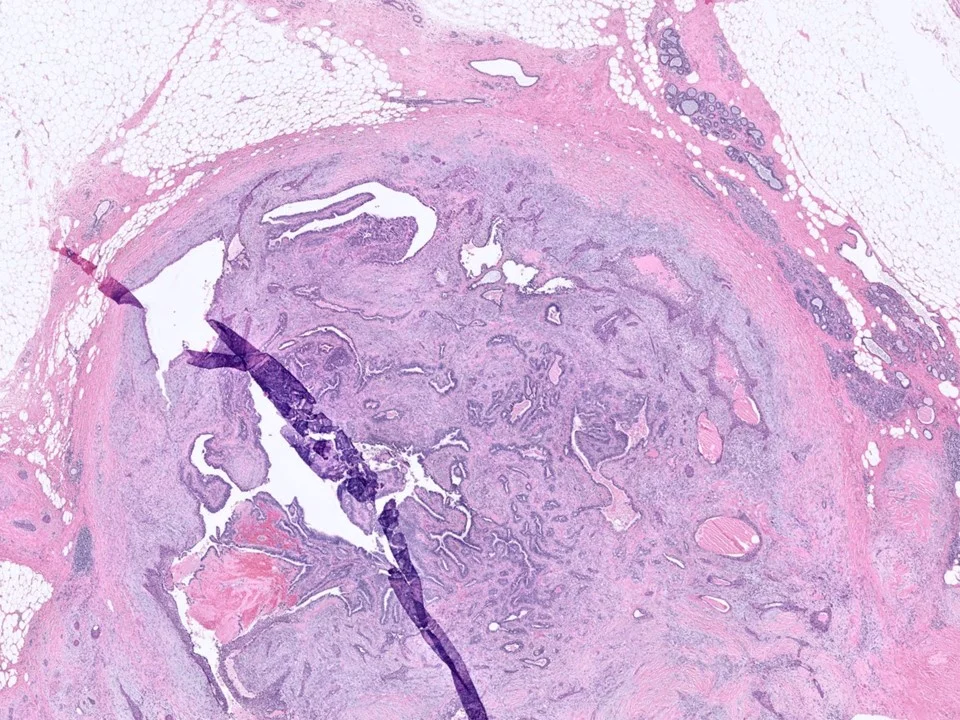
Low-Grade Adenosquamous Carcinoma Arising in Association with a Sclerosing Papilloma
Low-Grade Adenosquamous Carcinoma Arising in Association with a Sclerosing Papilloma
Low-Grade Adenosquamous Carcinoma Arising in Association with a Sclerosing Papilloma
Low-Grade Adenosquamous Carcinoma Arising in Association with a Sclerosing Papilloma
Low-Grade Adenosquamous Carcinoma Arising in Association with a Sclerosing Papilloma
Low-Grade Adenosquamous Carcinoma Arising in Association with a Sclerosing Papilloma
Low Grade Fibromatosis-Like Metaplastic Carcinoma
Low Grade Fibromatosis-Like Metaplastic Carcinoma
Metaplastic Carcinoma, Spindle Cell Type, Arising in Association with Sclerosing Papillomas
Metaplastic Carcinoma, Spindle Cell Type, Arising in Association with Sclerosing Papillomas
Metaplastic Carcinoma, Spindle Cell Type, Arising in Association with Sclerosing Papillomas
Metaplastic Carcinoma, Spindle Cell Type, Arising in Association with Sclerosing Papillomas
Metaplastic Carcinoma, Adenosquamous Carcinoma
Metaplastic Carcinoma, Adenosquamous Carcinoma
Metaplastic Carcinoma, Adenosquamous Carcinoma
Metaplastic Carcinoma, Adenosquamous Carcinoma
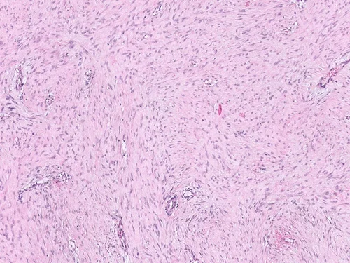
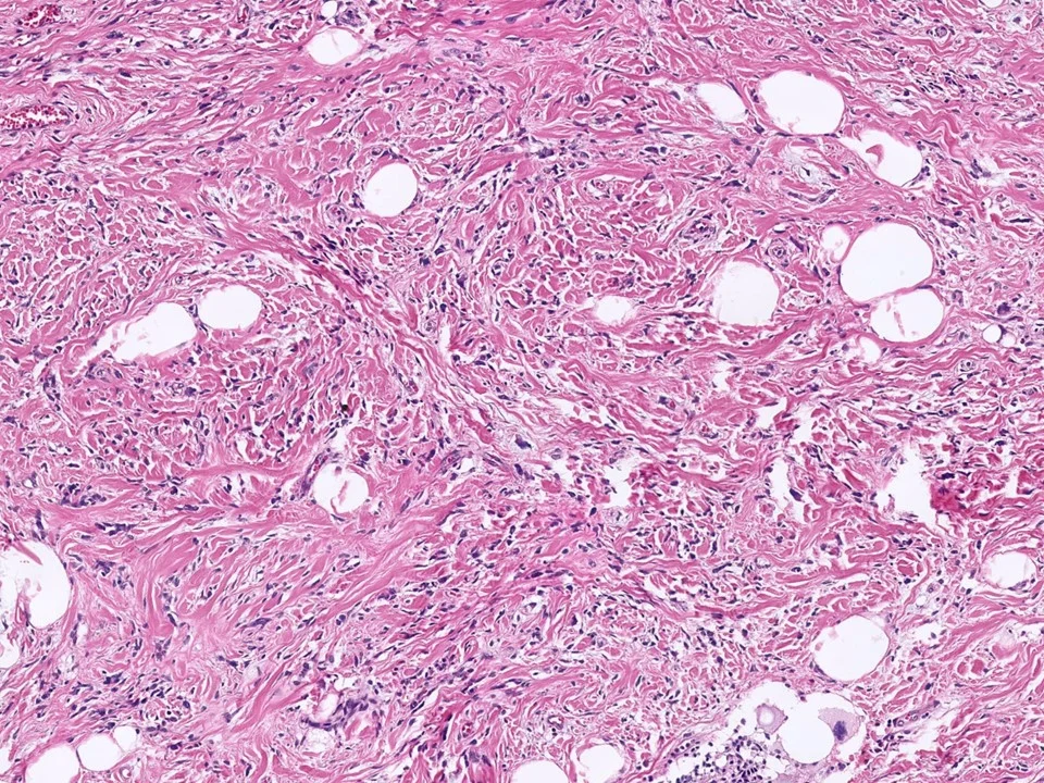
Myofibroblastoma
Myofibroblastoma

Myofibroblastomas are uncommon benign tumors of the breast. The tumor will show well-circumscribed borders. The spindle cells comprising the tumor are arranged as short fascicles admixed with bands of hyalinized, brightly eosinophilic collagen.

Myofibroblastoma
Myofibroblastoma

The stroma may show myxoid change, smooth muscle differentiation, or chondroid metaplasia. 

Myofibroblastoma
Myofibroblastoma

The spindle cells are arranged in short fascicles with admixed bands of eosinophilic collagen. They have bland oval nuclei in the classic type. 

Myofibroblastoma, CD34
Myofibroblastoma, CD34

Myofibroblastomas stain for CD34, vimentin, desmin, actin, bcl-2, and CD99. They also commonly express ER, PR, and androgen receptor.

Myofibroblastoma, BCL2
Myofibroblastoma, BCL2

Myofibroblastomas stain for CD34, vimentin, desmin, actin, bcl-2, and CD99. They also commonly express ER, PR, and androgen receptor.

Myofibroblastoma
Myofibroblastoma
Myofibroblastoma
Myofibroblastoma
Myofibroblastoma
Myofibroblastoma
Myofibroblastoma - BCL2 immunostain
Myofibroblastoma - BCL2 immunostain
Myofibroblastoma
Myofibroblastoma
Myofibroblastoma
Myofibroblastoma
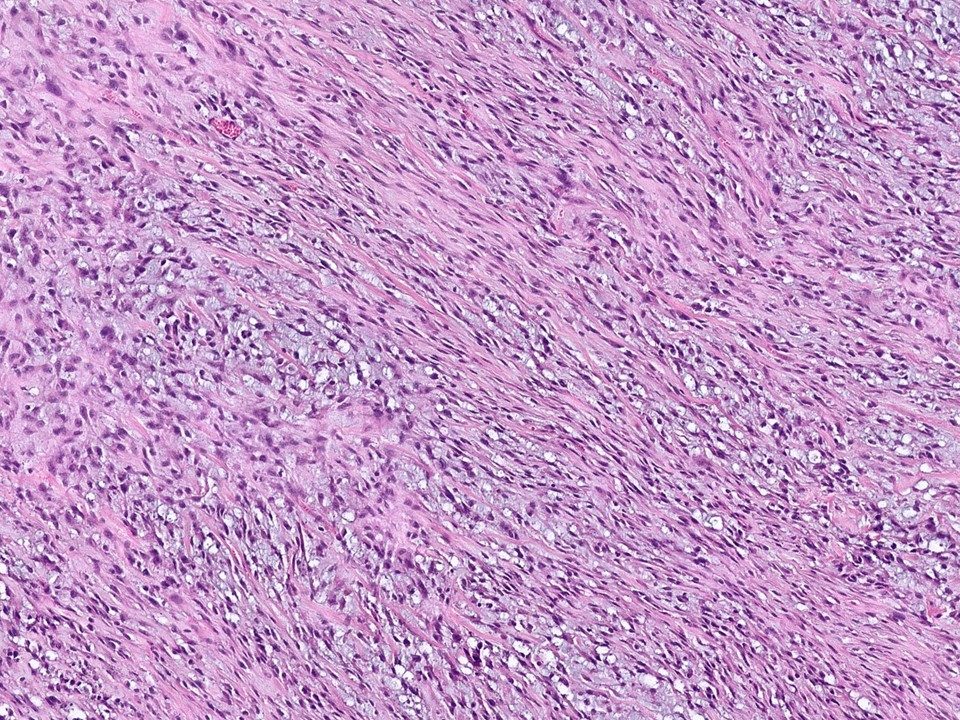
Myofibroblastoma, With Marked Nuclear Atypia
Myofibroblastoma, With Marked Nuclear Atypia

Another example of a myofibroblastoma. Note the well circumscribed nature of the lesion on lower power, as well as the intervening fibroadipose tissue within the lesion.

Myofibroblastoma, With Marked Nuclear Atypia
Myofibroblastoma, With Marked Nuclear Atypia

On higher power, hyalinized eosinophilic bands collagen are seen. Admixed spindle cells in short fascicles are seen. This case demonstrates nuclear atypia in the spindle cells.

Myofibroblastoma, With Marked Nuclear Atypia
Myofibroblastoma, With Marked Nuclear Atypia

Marked nuclear atypia may be seen in myofibroblastoms. These have not been shown to confer a worse prognosis.

See reference: http://www.ncbi.nlm.nih.gov/pubmed/26523539

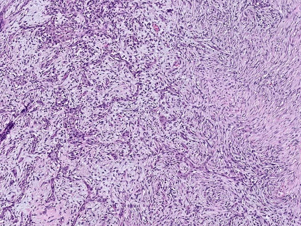
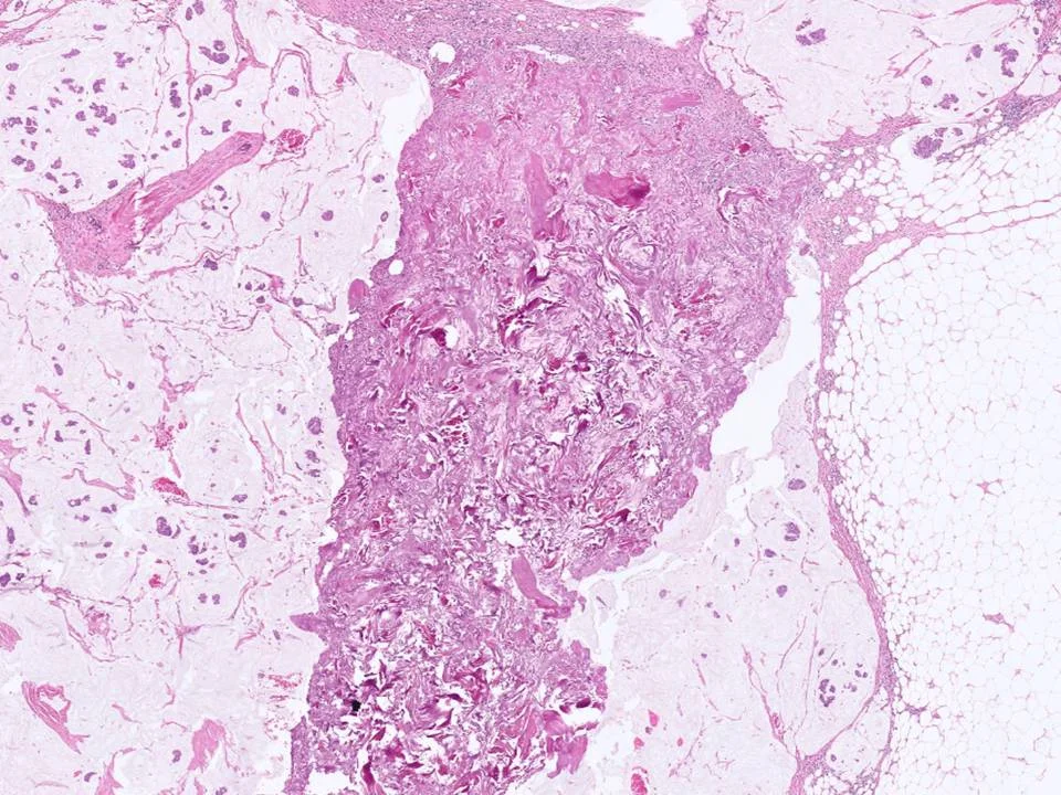
Fibromatosis
Fibromatosis

mammary fibromatosis is an infiltrative, locally aggressive proliferation of fibroblasts and myofibroblasts. 

Fibromatosis
Fibromatosis

Histologically, mammary type fibromatosis is similar to desmoid-type fibromatosis in other sites. It is composed of uniform, bland spindle cells with pale eosinophilic cytoplasm, poorly defined cell borders, and oval to elongated and tapering nuclei. These cells can be seen infiltrating the stroma in long sweeping fascicles. Mitotic figures are usually not frequent. These lesions stain for beta-catenin.

Fibromatosis
Fibromatosis
Fibromatosis
Fibromatosis
Fibromatosis
Fibromatosis
Fibromatosis - beta catenin immunostain (showing nuclear staining)
Fibromatosis - beta catenin immunostain (showing nuclear staining)

Vascular Lesions

Hemangioma
Hemangioma

Benign vascular lesions of the breast are relatively uncommon. There are several categories of benign vascular lesions including perilobular hemangioma, hemangioma (which is further classified into capillary, cavernous, and complex types), venous hemangioma, and angiomatosis.

Hemangioma
Hemangioma

Benign hemangiomas demonstrate erythrocyte filled blood vessels in the stroma and adipose tissue.

Hemangioma
Hemangioma
Hemangioma
Hemangioma
Angiosarcoma
Angiosarcoma

Angiosarcomas, although uncommon overall (accounting for <0.05% of all breast malignancies), are the most common primary sarcoma of the breast. They may involve the mammary skin, breast parenchyma, or both. Cutaneous angiosaromas are more common in the post-radiation setting.

Angiosarcoma
Angiosarcoma

Angiosarcomas can be divided into low, intermediate, and high grade based on a combination of histologic features including degree of endothelial tufting, papillary formations, presence/absence of solid/spindle cell foci, mitoses, blood lakes, and necrosis. Low grade angiosarcomas show well-formed interanastomosing vascular spaces.

Miscellaneous

Granular Cell Tumor
Granular Cell Tumor

Granular cell tumors are uncommon in the breast. They should be recognized because they may mimic carcinoma. Granular cell tumors are benign, and treated by local excision.

Histologically, the cells demonstrate abundant eosinophilic granular cytoplasm and infiltrate the breast tissue and fibroadipose tissue.

Granular Cell Tumor
Granular Cell Tumor

The tumor cells demonstrate abundant eosinophilic cytoplasm with a granular quality.

Granular Cell Tumor
Granular Cell Tumor

The tumor cells can infiltrate into breast and adipose tissue. The differential includes fat necrosis and other processes that demonstrate accumulation of histiocytes such as duct ectasia. Invasive carcinoma is also on the differential and an important mimic. Granular cell tumors are benign, and treated by local excision.

Granular Cell Tumor, S100
Granular Cell Tumor, S100

Granular cell tumors are positive for S100 (pictured), negative for cytokeratin, and negative for ER and PR. They are of neurogenic origin.

Gynecomastia
Gynecomastia

Most common male breast lesion. Etiology usually unknown, but may be associated with endocrine abnormalities or certain drugs. Usually occurs in puberty or old age. May be localized or diffuse and unilateral or bilateral.

Gynecomastia
Gynecomastia

The histologic appearance of gynecomastia will depend on the stage/age. The unifying feature of different stages is an increased number of ducts. The quality of the stroma will vary from loose to fibrotic.

Gynecomastia
Gynecomastia

Epithelial hyperplasia or even atypia may be seen in some cases. Reference: http://www.ncbi.nlm.nih.gov/pubmed/25215584

Gynecomastia
Gynecomastia
Pseudoangiomatous stromal hyperplasia (PASH)
Pseudoangiomatous stromal hyperplasia (PASH)

A benign myofibroblastic proliferation characterized by slit-like spaces in dense collagenous stroma that simulate a vascular proliferation (but these are not true vascular lesions as the name implies). This was from a case of diffuse bilateral PASH. PASH can be focal, diffuse, or mass forming.

Pseudoangiomatous stromal hyperplasia (PASH)
Pseudoangiomatous stromal hyperplasia (PASH)
Fascicular PASH
Fascicular PASH
Fascicular PASH
Fascicular PASH
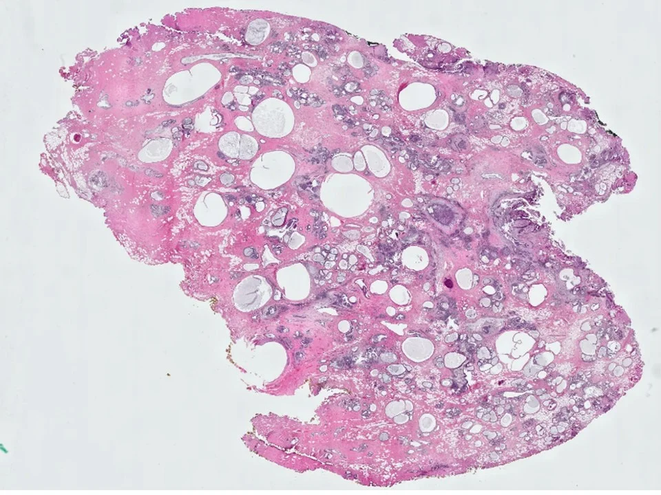
Juvenile Papillomatosis
Juvenile Papillomatosis

Presents as a well-defined firm mass that may be mistaken for a fibroadenoma clinically. Grossly, will appear as cysts of varying size. Miscroscopically, cysts and ectatic ducts are seen. Imparts a “Swiss cheese”-like appearance.

Paget Disease of Nipple
Paget Disease of Nipple

Found in less than 5% of patients with breast cancer. Characterized by malignant glandular epithelial cells scattered within the nipple epidermis.

Paget Disease of Nipple
Paget Disease of Nipple
Paget Disease of Nipple
Paget Disease of Nipple
Paget Disease of Nipple
Paget Disease of Nipple

Paget Disease of Nipple
Paget Disease of Nipple
Paget Disease of Nipple - cytokeratin 7 immunostain
Paget Disease of Nipple - cytokeratin 7 immunostain

Paget cells with show expression of LMW cytokeratins (such as CK7). Will also commonly show expression of HER2.

prev / next
Back to Breast Image Bank
Normal Breast Tissue
15
Normal Histology
Reactive Icon.jpg
28
Reactive, Inflammatory, and Nonproliferative Lesions
Slide2.JPG
20
Adenosis and Sclerosing Lesions
Columnar Cell Change
7
Columnar Cell Lesions and Flat Epithelial Atypia
ADH clubs2.jpg
43
Intraductal Proliferative Lesions
Lobular Carcinoma In Situ, Type A and Type B Cells
21
Lobular carcinoma in situ / Atypical Lobular Hyperplasia
Slide15.JPG
30
Invasive Breast Carcinomas
Slide9.JPG
23
Fibroepithelial Lesions
111.jpg
25
Papillary Lesions
Metaplastic Carcinoma
45
Spindle Cell Lesions
Vascular Icon.jpg
6
Vascular Lesions
Slide35.JPG
19
Miscellaneous

Powered by Squarespace