Introduction

• Mammary-type myofibroblastoma (MTMF) is a benign mesenchymal neoplasm initially described as a distinct entity 30 years ago in the breast of older men

• It is a spindle cell neoplasm composed histologically of bland spindle cells admixed with collagen bundles and a variable number of adipocytes. On IHC, it is positive for CD34 and desmin.

• MTMF genetically is part of the “13q/Rb family of tumors” that have a deletion or rearrangement of 13q14 that results in loss of Rb

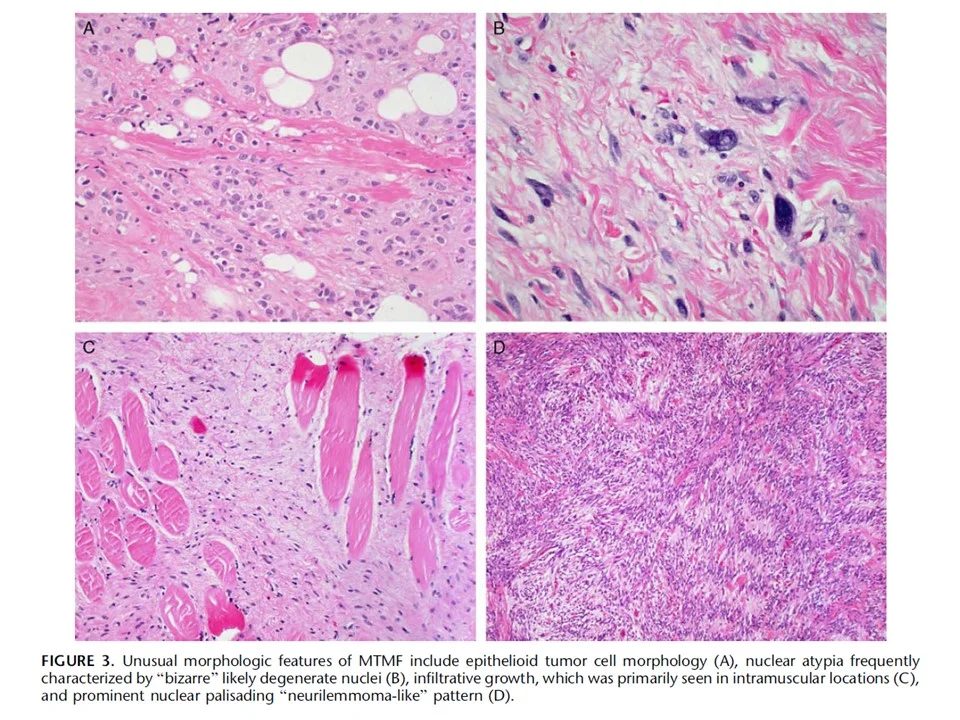
• MTMF has now been reported to occur in other anatomic sites, and has had additional morphologic features described that includes cytologic atypia, epithelioid morphology, and infiltrative growth pattern but with no associated aggressive clinical behavior

• This studylooked at a large series MTMF and described the clinicopathologic findings


Findings

• 143 cases of MTMF were found retrospectively, and the diagnosis was confirmed. H&E slides and IHC slides were reviewed when available. Clinical follow-up data for tumor recurrence, metastasis, and patient status at last follow-up were evaluated

• The 143 subjects consisted of 94 (66%) male and 49 (34%) female patients. Mean age at time of diagnosis was 54 years, with a wide age range overall (4 to 96 yrs)

• There was a wide anatomic distribution, and included: inguinal/groin region (65; 45%), breast (15; 10%), chest wall/axilla (7; 5%), trunk (17; 12%), lower (18; 13%) and upper (2; 1%) extremities, or intra-abdominal/retroperitoneal (14; 10%). 

• Most patients were either asymptomatic or complained of a painless swelling/mass. The duration of symptoms ranged from days to >20 years.

• The mean tumor size was 6.6 cm (range, 1 to 22 cm). Grossly, the tumors were well circumscribed, with a rubbery to gelatinous and yellow to white/gray/tan cut surface with a variably fatty appearance

• Histologically, MTMFs were characterized by spindle cells with relatively short, stubby nuclei and indistinct pale cytoplasmic borders. There was a variable adipocytic component. Thick ropey collagen bundles were occasionally present, but more often the stromal collagen was distributed in broader sheets. Hyalinization and myxoid stroma were common.

• Less common morphologic features included cytologic/nuclear atypia (14; 10% of cases), epithelioid tumor cell morphology (6; 4%), and neurilemmoma-type nuclear palisading (2 cases). Infiltrative growth was seen in primarily intramuscular tumors

• Although cytologic atypia was infrequent overall, in some cases it was quite prominent. It was focal or multifocal, but never diffuse, and was characterized by enlarge, hyperchromatic, and often multinucleated cells, consistent with degenerative or “symplastic”-type atypia. No mitoses were seen in cells with cytologic atypia

• These unusual morphologic features were particularly seen in the breast. 11 of the 15 breast cases demonstrated unusual morphologic features (This likely reflected referral bias)

• CD34 and desmin were positive in 89% and 91%, respectively, and most had diffuse or multifocal staining. However, both were negative in 4 cases (3%).

• Rb expression was lost in 92% (57 of 62 cases tested).

• Of the additional stains tested, SMA and EMA were occasionally positive (37% and 43%, respectively). Less commonly, MTMF was positive for S100 (8%), MDM2 (4%), or CDK4 (3%). Importantly, no cases were positive for both MDM2 and CDK2

• No cases with follow-up data available (70 cases, 49%) had tumor recurrence, although 1 case was reportedly a recurrence itself. Even in the setting of positive excision margins (8 cases), no recurrence was reported.


Conclusions

• It has been increasingly known that MTMF occurs in a wider age and in both sexes, as well as a wider anatomic distribution.

• It appears from this study that the groin or inguinal region may be at least as common sites as the breast for this tumor, although due to the series being cases seen in consult, there may be referral bias affecting the anatomic distribution reported

• Depending on anatomic site, there is a wide differential that includes spindle cell lipoma and cellular angiofibroma (which have shared genetics with MTMF), as well as atypical lipomatous tumor, desmoid fibromatosis, and solitary fibrous tumor. IHC can aide in distinguishing these entities, with MTMFs showing positivity for CD34 and desmin, loss of Rb, and negativity for S100, MDM2, and CDK4 in most.

• Regardless of the histologic appearance, immunophenotype, and anatomic location, MTMF has virtually no potential for recurrence or metastasis, even with positive excision margins