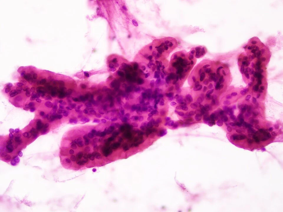
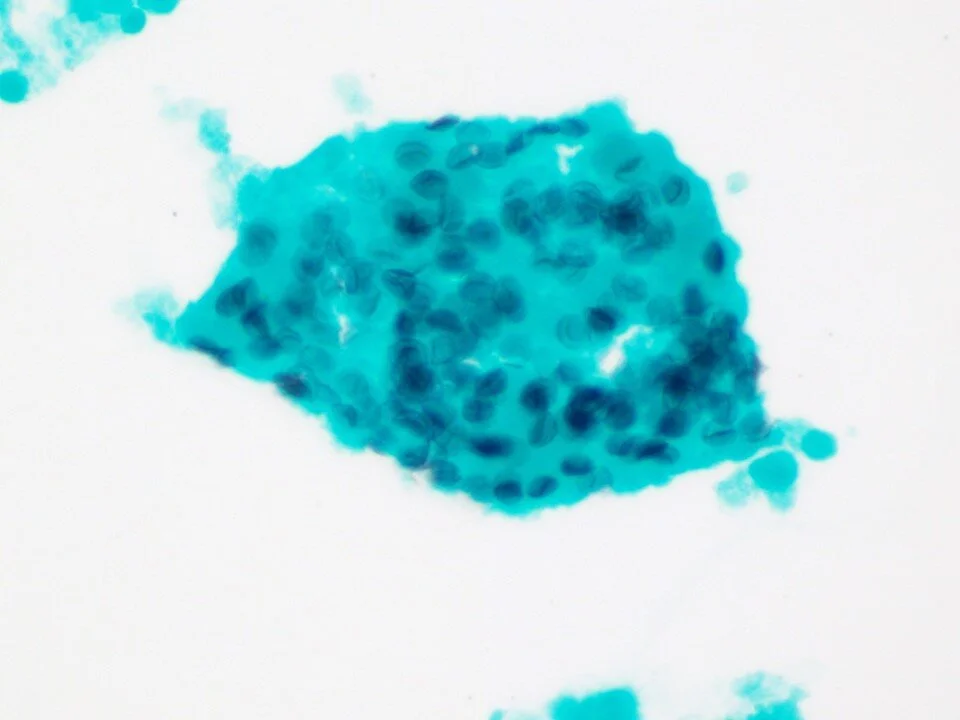
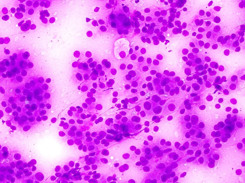
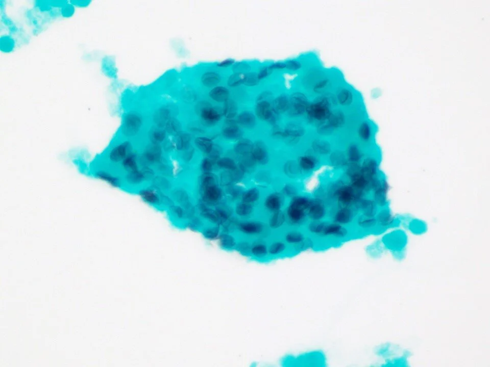
Normal respiratory elements
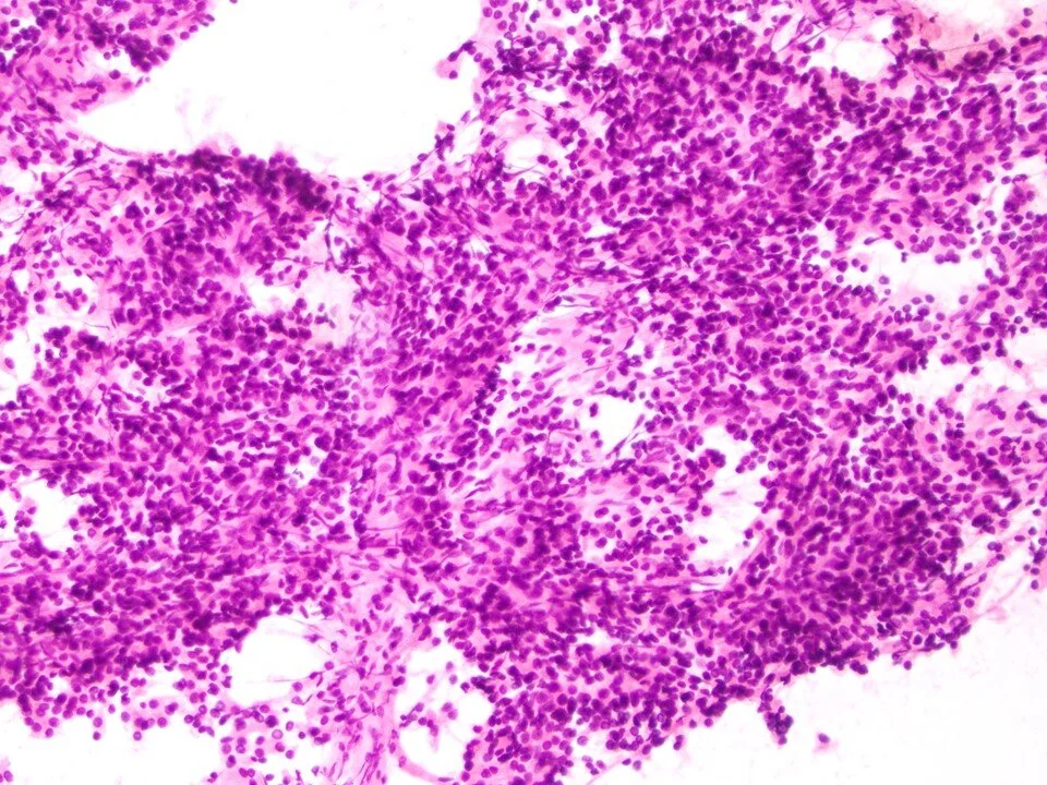
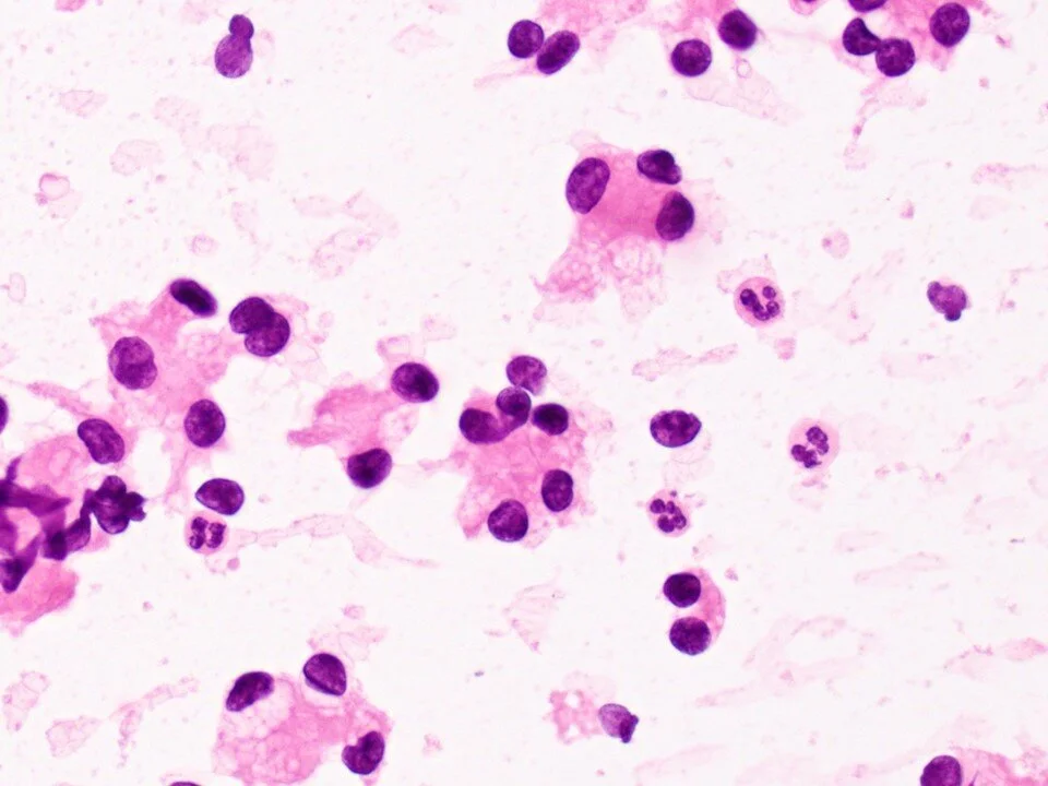
Reactive bronchial cells
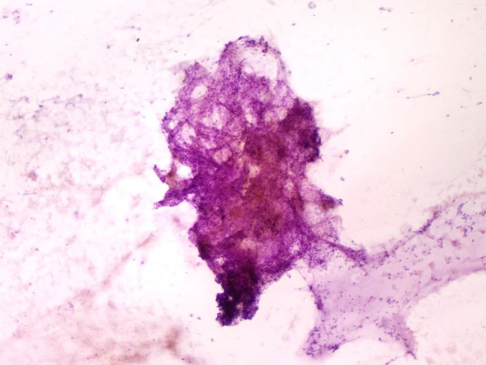
Corpora amylacea
Corpora amylacea
Corpora amylacea
Alternaria
Ferruginous / Asbestos bodies
Charcot-Leyden Crystals
Charcot-Leyden Crystals
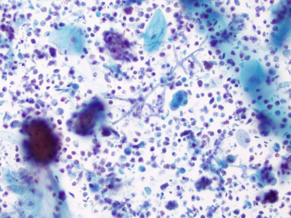
Aspergillus
Aspergillus
Aspergillus
Candida
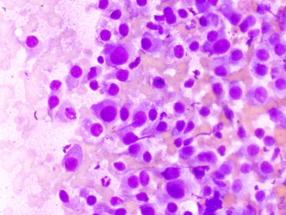
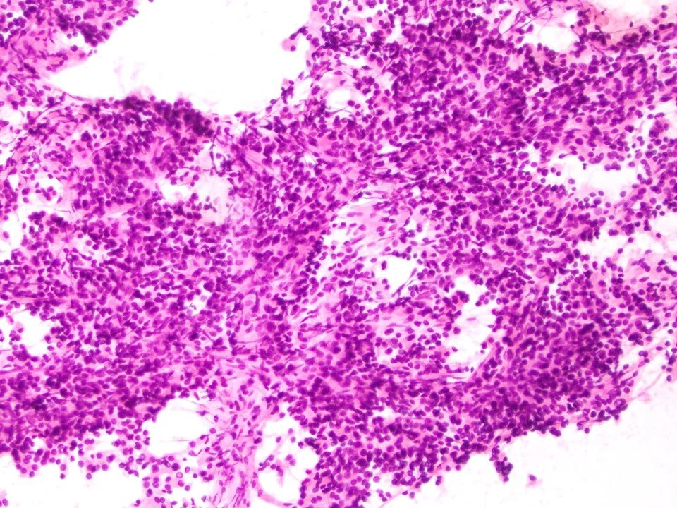
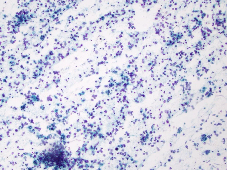
Pneumocystis jirovecii
Pneumocystis jirovecii
Pneumocystis jirovecii
Pneumocystis jirovecii
Coccidioides immitis
Coccidioides immitis
Paracoccidioidomycosis
Nocardia
Herpes Simplex Virus
Cytomegalovirus
Cytomegalovirus
Ciliocytophthoria
Ciliocytophthoria
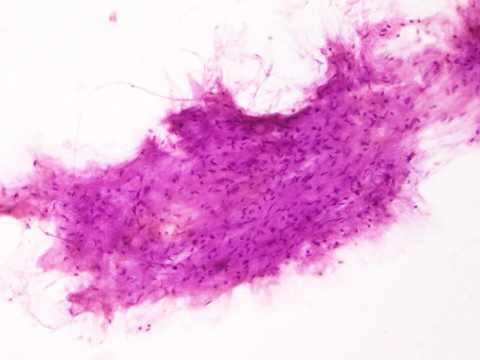
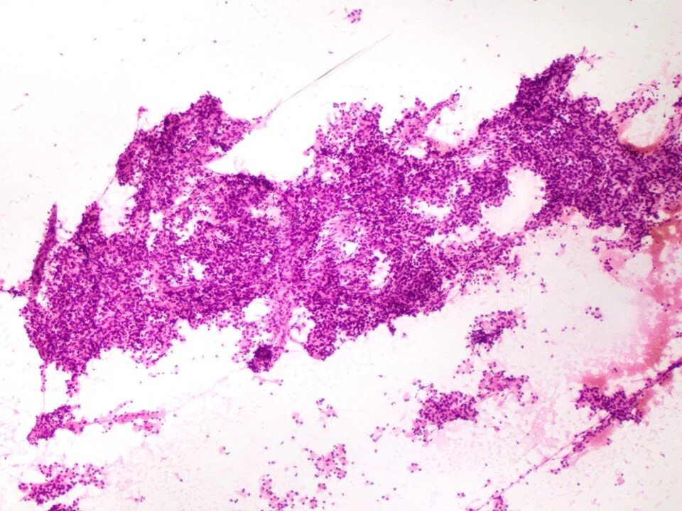
Organizing pneumonia
Organizing pneumonia
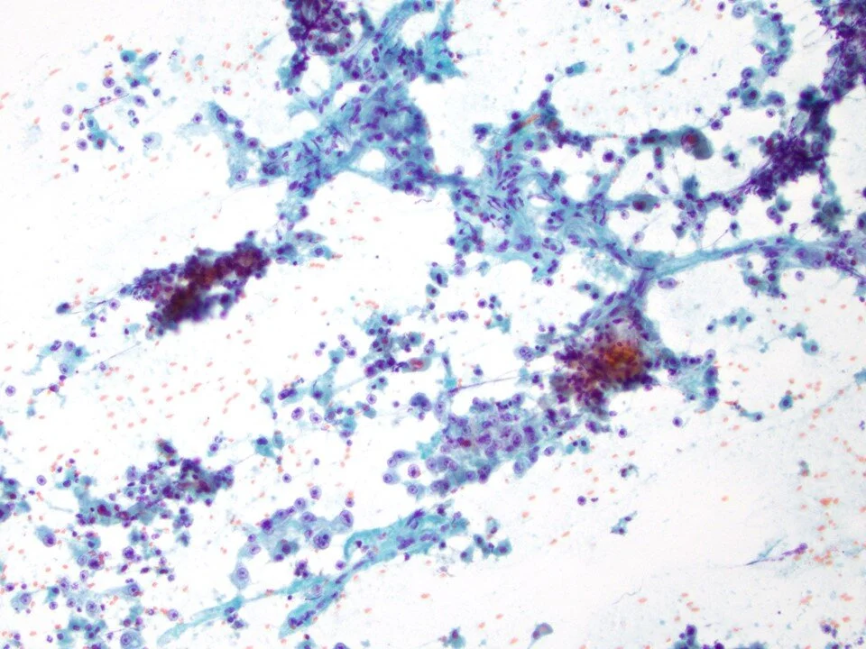
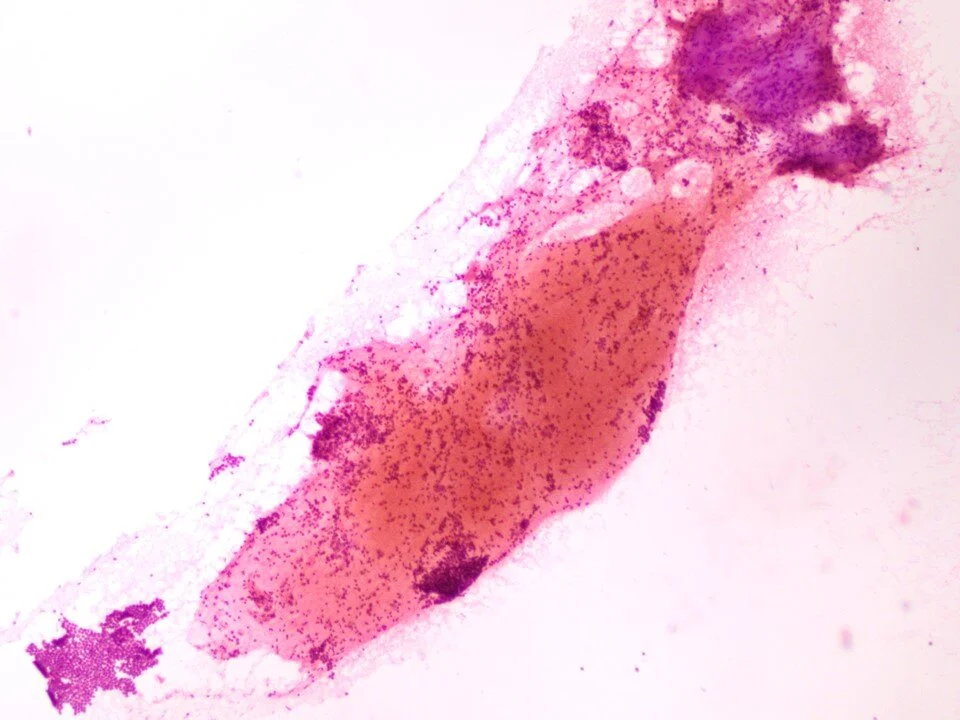
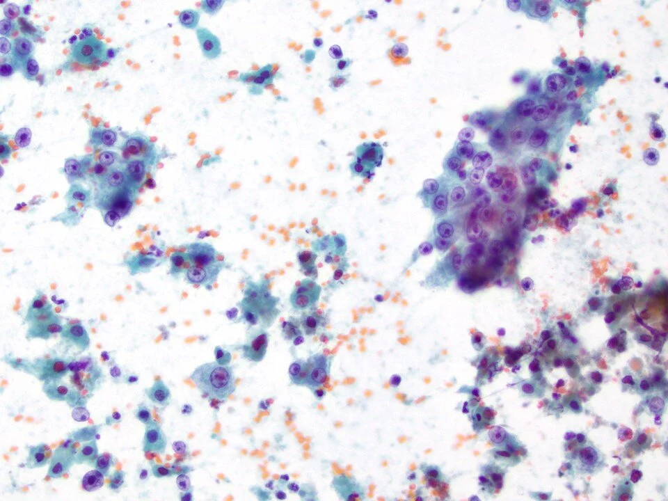
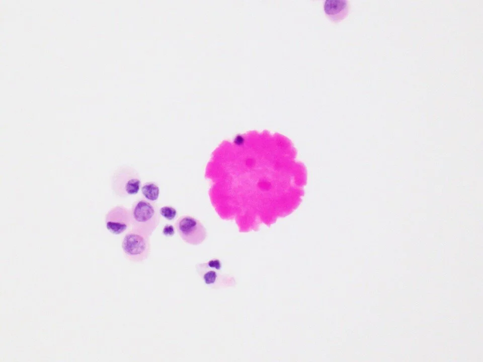
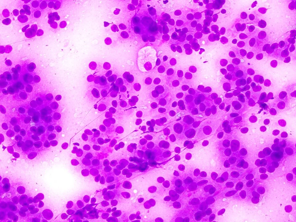
Pulmonary alveolar proteinosis
Pulmonary alveolar proteinosis
Pulmonary alveolar proteinosis
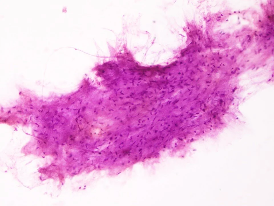
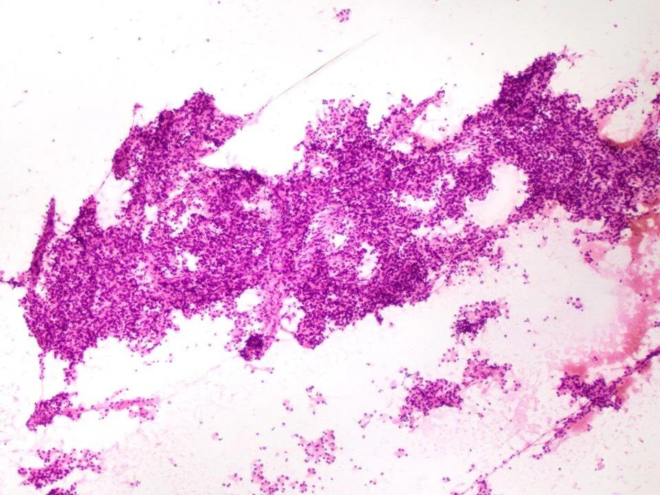
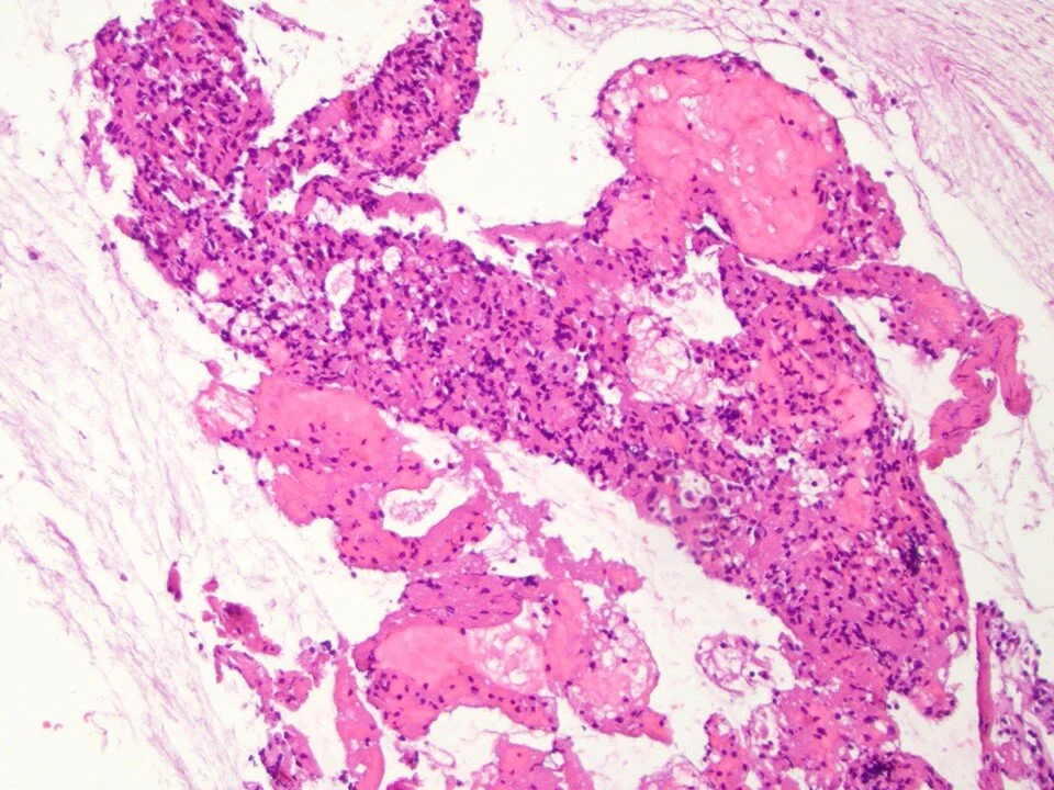
Pulmonary hamartoma
Pulmonary hamartoma
Pulmonary hamartoma
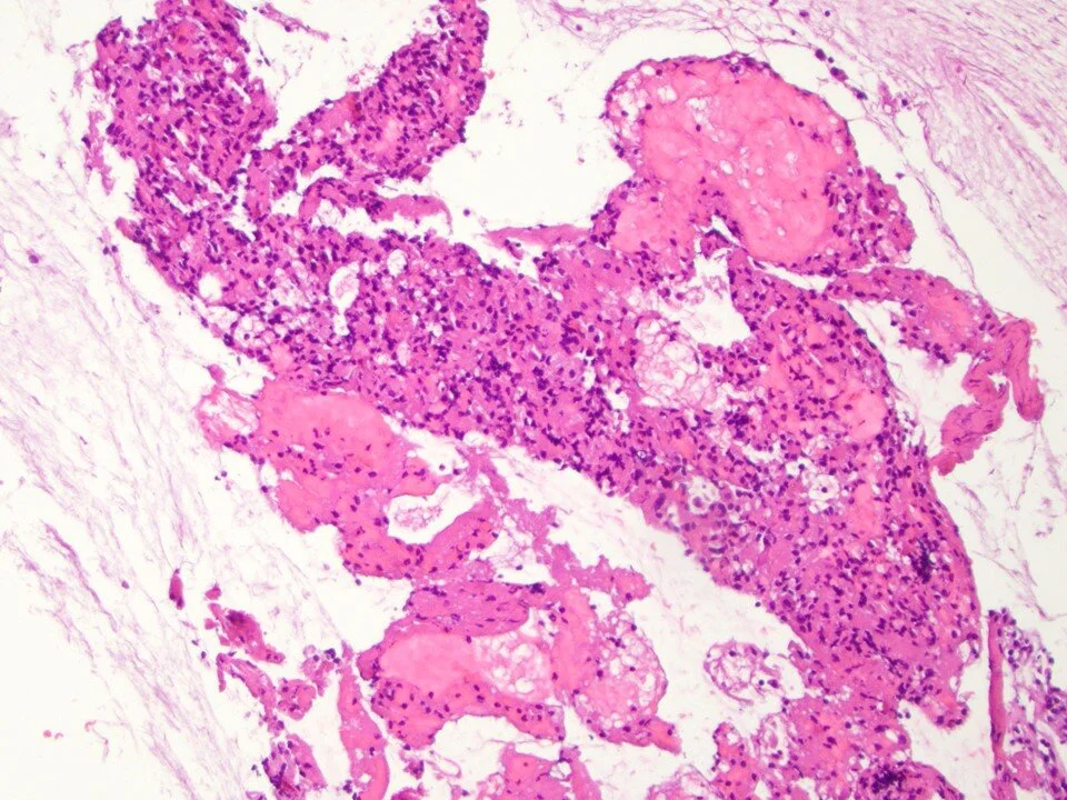
Sclerosing pneumocytoma
Sclerosing pneumocytoma
Sclerosing pneumocytoma - cell block
Squamous cell carcinoma, keratinizing type
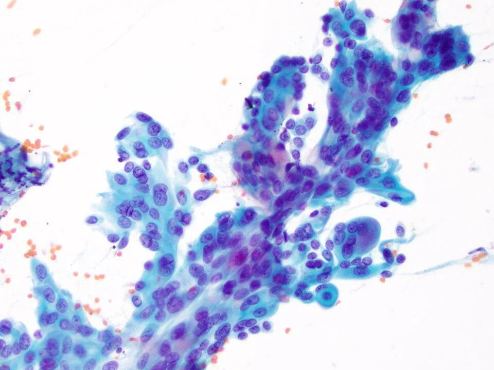
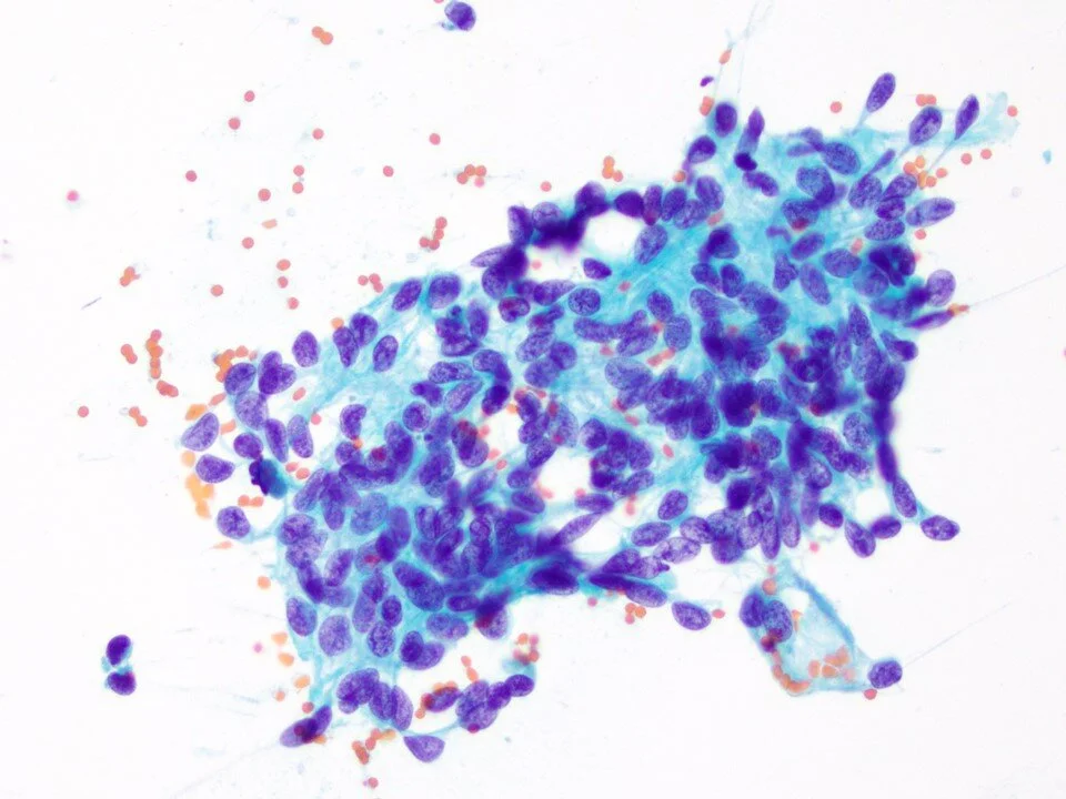
Adenocarcinoma
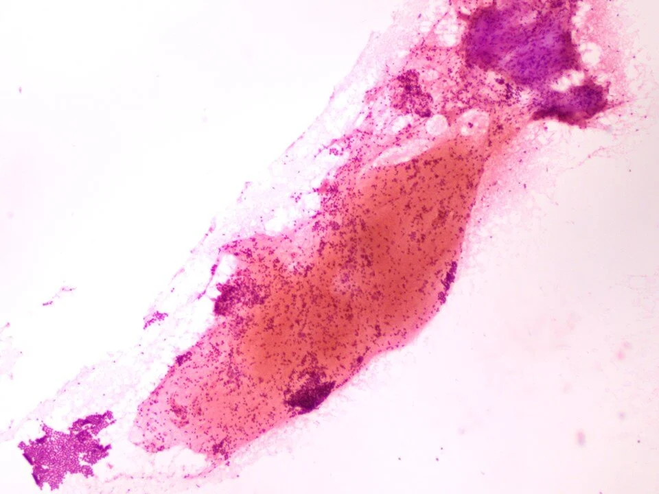
Well-differentiated mucinous adenocarcinoma
Well-differentiated mucinous adenocarcinoma
Well-differentiated mucinous adenocarcinoma
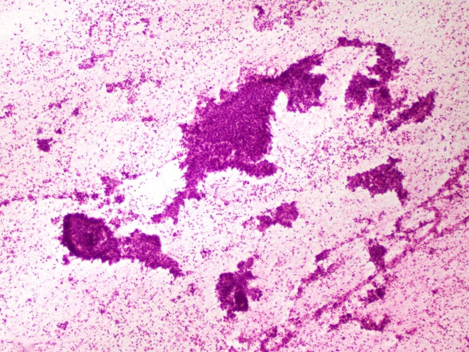
Carcinoid tumor
Carcinoid tumor
Carcinoid tumor
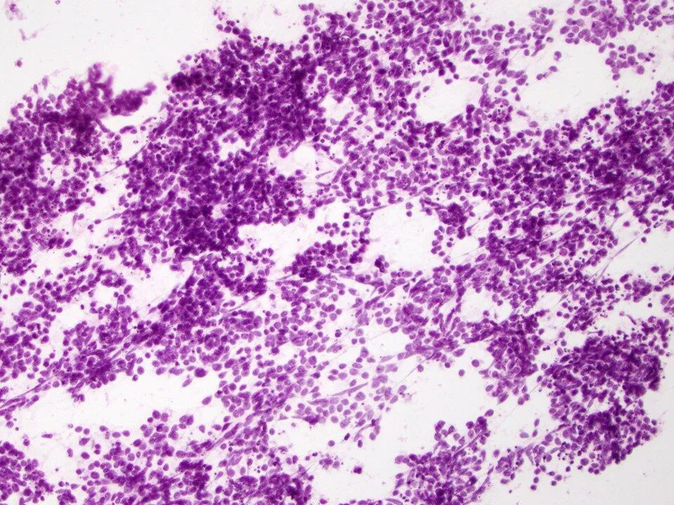
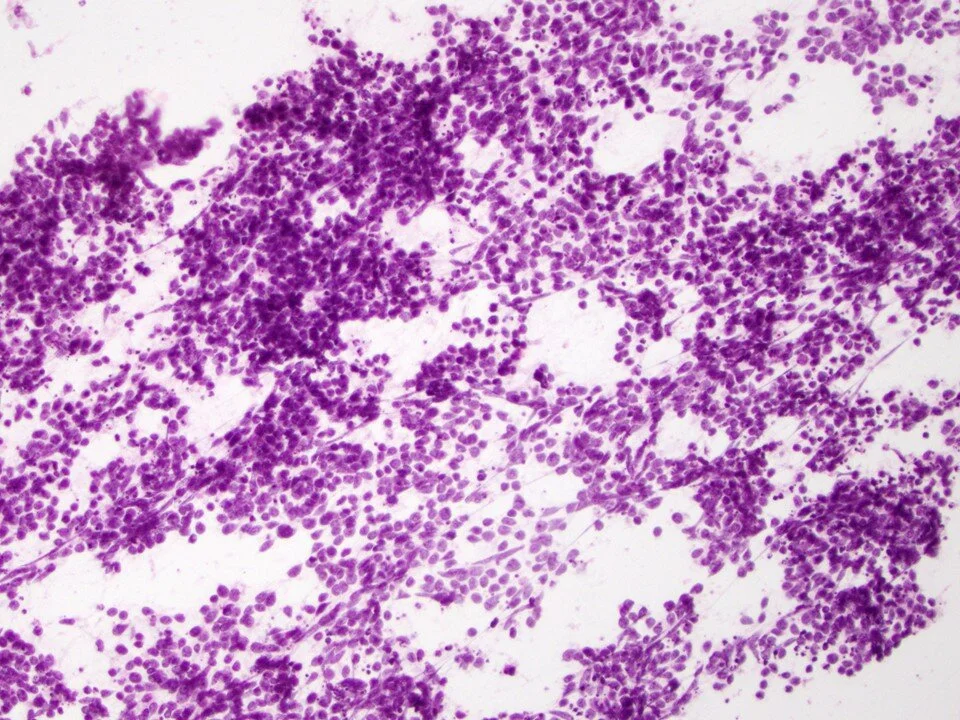
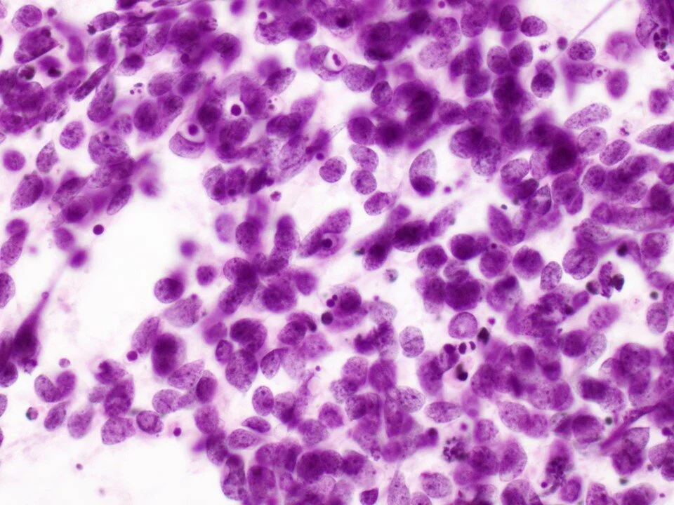
Small cell carcinoma
Small cell carcinoma
Diffuse large B cell lymphoma
Diffuse large B cell lymphoma
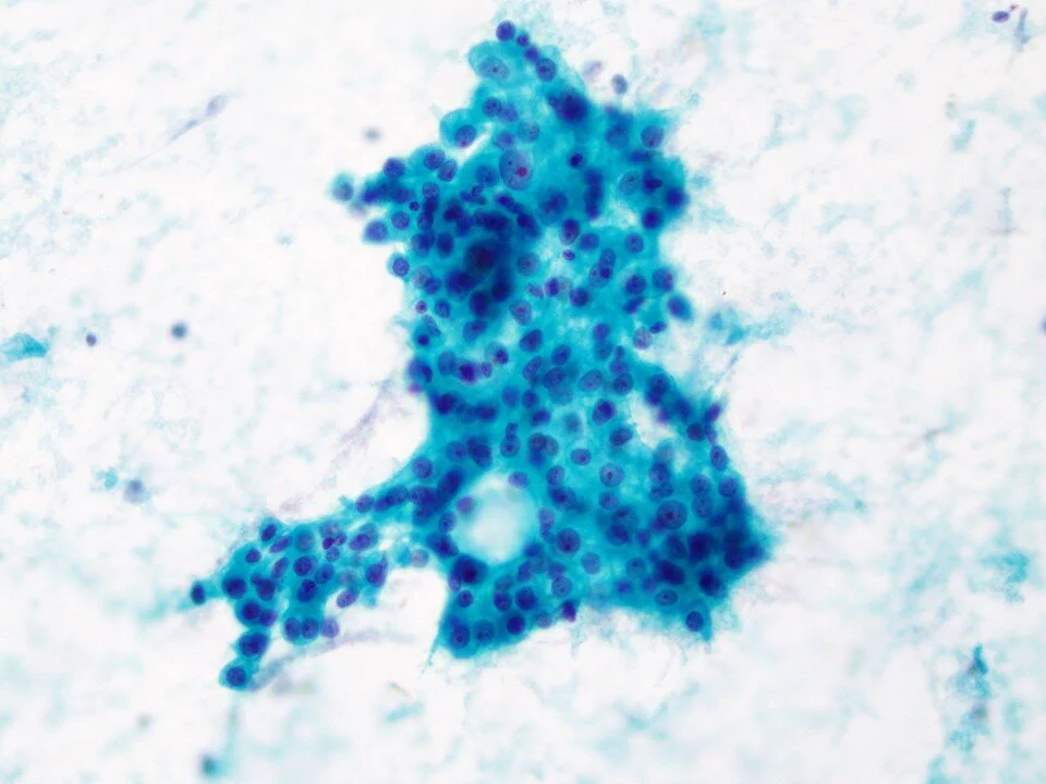
Mesothelioma
Mesothelioma
Metasatic melanoma
Metastatic colorectal carcinoma
Metastatic colorectal carcinoma
Metastatic clear cell renal cell carcinoma
Metastatic clear cell renal cell carcinoma
Metastatic clear cell renal cell carcinoma
Metastatic hepatocellular carcinoma
Metastatic hepatocellular carcinoma
prev / next