Introduction

• Gene expression profiling studies have identified a subtype of invasive breast carcinomas called basal-like carcinomas (in addition to other subtypes including luminal A, luminal B, and the HER2 subtype). They constitute about 15% of invasive breast carcinomas and have a poor prognosis overall. They are often seen in women with BRCA1 mutations, but also in sporadic breast cancers.

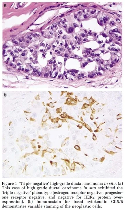
• Basal-like carcinomas are characterized by lack of expression of estrogen receptor, progesterone receptor, and absence of HER2 protein over expression (ie triple negative phenotype)

• Basal-like carcinomas typically express one or more of the basal cytokeratins (CK5/6, CK14, and CK17), epidermal growth factor receptor, and/or c-kit.

• The majority of triple negative breast cancers cluster within the basal-like carcinoma subtype.

• Basal-like carcinomas are poorly differentiated carcinomas. While they presumably have a ductal carcinoma in situ precursor, which presumably would have an immunophenotype analogous to that of invasive basal-like carcinomas, the frequency and even existence of a distinctive DCIS lesion had not been previously identified, and was the subject of exploration in this study

 

Findings

• The authors studied 66 cases of high nuclear grade DCIS to determine the frequency of the triple negative phenotype and expression of basal cytokeratins and other biomarkers that are characteristically expressed by invasive basal-like carcinomas

• Immunostains for ER, PR, HER2, CK5/6, CK14, CK17, EGFR, and c-kit were performed

• The frequency of expression of the various biomarkers in the sample of high grade DCIS is summarized in table 2.

• Overall, 56% cases were ER positive, 40% PR positive, and 67% showed HER2 overexpression

• Four cases (6%) were ER, PR, HER2 negative (triple negative)

• Staining for one or more of the basal cytokeratins was seen in 21 of the 66 cases (32%) overall

• 3 of the 4 triple negative DCIS cases (75%) were positive for at least one basal cytokeratin (Table 3)

• Only 18 of 62 non-triple negative cases (29%) showed basal cytokeratin staining

• EGFR expression was found in 12 of 55 evaluable cases (22%), and was in three of four (75%) of the triple negative cases versus only 9 of 51 (18%) of non-triple negative cases

• Either basal cytokeratin, EGFR, or both were shown by all triple negative high grade DCIS cases (100%) but only 21 of 51 (41%) of non-triple negative cases

• Ckit expression was seen in only two cases, one triple negative and one non-triple negative case

• Histologically, there were no characteristics that distinguished the triple negative HG DCIS cases from the non-triple negative HG DCIS cases

 

Conclusions

• A small proportion of high grade DCIS will have the triple negative (ER, PR, HER2 negative) phenotype that characterizes invasive basal-like carcinomas

• All four of the triple negative HG DCIS cases showed expression of one or more basal cytokeratins and/or EGFR

• There was heterogeneity with regard to basal cytokeratin, EGFR, and ckit expression amongst the triple negative DCIS cases, which is similar to the heterogeneity in expression of these biomarkers in invasive basal-like cancers (see reference article)

• These findings raise the possibility that these triple negative HG DCIS cases with basal cytokeratin and/or EGFR expression may represent a precursor lesion of invasive basal-like carcinomas.

• The infrequent occurrence of DCIS lesions with this phenotype and the observance that invasive triple negative basal-like carcinomas usually don’t have an identifiable component of DCIS could be explained by the fact that basal-like carcinomas evolve rapidly and largely obliterate the DCIS from which they arise